You have no items in your shopping cart.
CDC37 Antibody (Center)
Description
Research Area
Images & Validation
−| Tested Applications | FC, IHC-P, WB |
|---|---|
| Dilution range | WB - 1:1000, IHC-P - 1:100-500, FC - 1:10-50 |
| Reactivity | Human, Mouse, Rat |
Key Properties
−| Antibody Type | Primary Antibody |
|---|---|
| Host | Rabbit |
| Clonality | Polyclonal |
| Isotype | Rabbit IgG |
| Molecular Weight | 44468 Da |
| Conjugation | Unconjugated |
Storage & Handling
−| Storage | Maintain refrigerated at 2-8°C for up to 2 weeks. For long term storage store at -20°C in small aliquots to prevent freeze-thaw cycles |
|---|---|
| Form/Appearance | Purified polyclonal antibody supplied in PBS with 0.09% (W/V) sodium azide. This antibody is purified through a protein A column, followed by peptide affinity purification. |
| Disclaimer | For research use only |
Alternative Names
−Similar Products
−CDC37 Antibody [orb215040]
IF, IHC, WB
Human, Monkey, Mouse, Rat
Rabbit
Polyclonal
Unconjugated
30 μl, 100 μl, 200 μl, 50 μl

Quality Guarantee
Explore bioreagents carefree to elevate your research. All our products are rigorously tested for performance. If a product does not perform as described on its datasheet, our scientific support team will provide expert troubleshooting, a prompt replacement, or a refund. For full details, please see our Terms & Conditions and Buying Guide. Contact us at [email protected].

Western blot analysis of CDC37 Antibody (Center) in MCF-7, A2058 cell line lysates (35 ug/lane). CDC37 (arrow) was detected using the purified Pab.

CDC37 Antibody (Center) flow cytometric analysis of MCF-7 cells (right histogram) compared to a negative control cell (left histogram). FITC-conjugated goat-anti-rabbit secondary antibodies were used for the analysis.

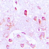
CDC37 Antibody (Center) IHC analysis in formalin fixed and paraffin embedded skin followed by peroxidase conjugation of the secondary antibody and DAB staining. This data demonstrates the use of the CDC37 Antibody (Center) for immunohistochemistry. Clinical relevance has not been evaluated.

All lanes: Anti-CDC37 Antibody (Center) at 1:2000 dilution. Lane 1: A431 whole cell lysate. Lane 2: C6 whole cell lysate. Lane 3: Jurkat whole cell lysate. Lane 4: K562 whole cell lysate. Lane 5: LNCaP whole cell lysate. Lysates/proteins at 20 µg per lane. Secondary Goat Anti-Rabbit IgG, (H+L), Peroxidase conjugated at 1/10000 dilution. Predicted band size: 44 kDa. Blocking/Dilution buffer: 5% NFDM/TBST.
Quick Database Links
UniProt Details
−Documents Download
Request a Document
Protocol Information
CDC37 Antibody (Center) (orb1928181)
Participating in our Biorbyt product reviews program enables you to support fellow scientists by sharing your firsthand experience with our products.
Login to Submit a Review

