You have no items in your shopping cart.
CDK6 Antibody
Description
Research Area
Images & Validation
−| Tested Applications | ELISA, IHC, WB |
|---|---|
| Dilution range | WB: 1: 500-2000, IHC-P: 1: 50-300, ELISA: 1: 10000-20000 |
| Reactivity | Human |
Key Properties
−| Host | Rabbit |
|---|---|
| Clonality | Polyclonal |
| Isotype | IgG |
| Immunogen | Synthetic peptide from Human protein at AA range: 280-325 |
| Target | CDK6 |
| Purification | The antibody was affinity-purified from rabbit serum by affinity-chromatography using specific immunogen. |
| Conjugation | Unconjugated |
Storage & Handling
−| Storage | Maintain refrigerated at 2-8°C for up to 2 weeks. For long term storage store at -20°C in small aliquots to prevent freeze-thaw cycles. |
|---|---|
| Form/Appearance | Liquid |
| Buffer/Preservatives | PBS, pH 7.4, containing 0.02% sodium azide as Preservative and 50% Glycerol. |
| Disclaimer | For research use only |
Alternative Names
−Similar Products
−CDK6 Rabbit Polyclonal Antibody [orb10360]
FC, IF, IHC-Fr, IHC-P, WB
Bovine, Canine, Equine
Human, Mouse, Rat
Rabbit
Polyclonal
Unconjugated
50 μl, 100 μl, 200 μlHuman Cyclin Dependent Kinase 6 (CDK6) ELISA Kit [orb778134]
Human
0.16-10 ng/mL
0.055 ng/mL
96 T, 48 TCDK6 Antibody [orb625682]
ELISA, IF, IHC, WB
Human, Mouse, Rat
Rabbit
Polyclonal
Unconjugated
100 μg, 50 μg

Quality Guarantee
Explore bioreagents carefree to elevate your research. All our products are rigorously tested for performance. If a product does not perform as described on its datasheet, our scientific support team will provide expert troubleshooting, a prompt replacement, or a refund. For full details, please see our Terms & Conditions and Buying Guide. Contact us at [email protected].

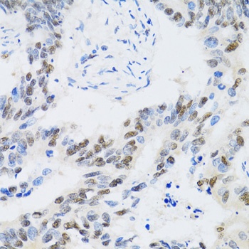
Immunohistochemical staining of human-colon-cancer using CDK6 antibody

Western blot analysis of 293T Hela lysate using CDK6 antibody

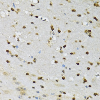
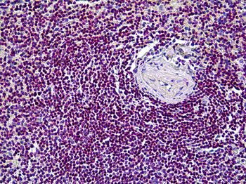
Immunohistochemical staining of human-tonsil using CDK6 antibody

Immunohistochemical staining of human-tonsil using CDK6 antibody

Immunohistochemical staining of human-colon-cancer using CDK6 antibody
Quick Database Links
UniProt Details
−Documents Download
Request a Document
Protocol Information
CDK6 Antibody (orb676383)
Participating in our Biorbyt product reviews program enables you to support fellow scientists by sharing your firsthand experience with our products.
Login to Submit a Review



















