You have no items in your shopping cart.
CHRNA1 Rabbit Polyclonal Antibody
Description
Research Area
Images & Validation
−| Tested Applications | IHC, WB |
|---|---|
| Reactivity | Human |
| Predicted Reactivity | Canine, Guinea pig, Mouse, Porcine, Rabbit |
Key Properties
−| Host | Rabbit |
|---|---|
| Clonality | Polyclonal |
| Immunogen | The immunogen is a synthetic peptide directed towards the C terminal region of human CHRNA1 |
| Target | CHRNA1 |
| Molecular Weight | 52kDa |
| Purification | Affinity Purified |
| Conjugation | Unconjugated |
Storage & Handling
−| Storage | Maintain refrigerated at 2-8°C for up to 2 weeks. For long term storage store at -20°C in small aliquots to prevent freeze-thaw cycles. |
|---|---|
| Buffer/Preservatives | Liquid. Purified antibody supplied in 1x PBS buffer with 0.09% (w/v) sodium azide and 2% sucrose. |
| Concentration | 0.5 mg/ml |
| Disclaimer | For research use only |
Alternative Names
−Similar Products
−AChRα1 rabbit pAb Antibody [orb767160]
ELISA, IF, WB
Human, Mouse, Rat
Polyclonal
Unconjugated
50 μl, 100 μlCHRNA1 Antibody [orb625784]
ELISA, IHC, WB
Human, Mouse, Rat
Rabbit
Polyclonal
Unconjugated
100 μg, 50 μgAChRα1 rabbit pAb Antibody [orb767515]
ELISA, IF, IHC
Human, Mouse, Rat
Polyclonal
Unconjugated
50 μl, 100 μlCHRNA1 Rabbit Polyclonal Antibody [orb575314]
WB
Bovine, Canine, Equine, Guinea pig, Mouse, Porcine, Rabbit, Rat
Human
Rabbit
Polyclonal
Unconjugated
100 μl

Quality Guarantee
Explore bioreagents carefree to elevate your research. All our products are rigorously tested for performance. If a product does not perform as described on its datasheet, our scientific support team will provide expert troubleshooting, a prompt replacement, or a refund. For full details, please see our Terms & Conditions and Buying Guide. Contact us at [email protected].

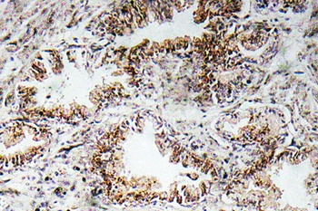
Sample Tissue: Human Fetal Lung, Antibody Dilution: 1.0 ug/ml.

Human Intestine

WB Suggested Anti-CHRNA1 Antibody Titration: 0.12 ug/ml, Positive Control: Human heart.
Documents Download
Request a Document
Protocol Information
CHRNA1 Rabbit Polyclonal Antibody (orb592808)
Participating in our Biorbyt product reviews program enables you to support fellow scientists by sharing your firsthand experience with our products.
Login to Submit a Review





