You have no items in your shopping cart.
Description
Research Area
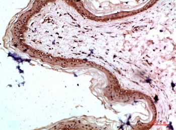
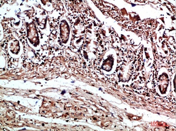
Images & Validation
−| Tested Applications | ELISA, WB |
|---|---|
| Dilution Range | WB: 1: 500-10000, ELISA: 1: 10000 |
| Reactivity | Human |
Key Properties
−| Host | Rabbit |
|---|---|
| Clonality | Polyclonal |
| Isotype | IgG |
| Immunogen | Synthetic peptide from AA range: 481-530 |
| Target | COL17A1 |
| Purification | The antibody was affinity-purified from rabbit serum by affinity-chromatography using specific immunogen. |
| Conjugation | Unconjugated |
Storage & Handling
−| Storage | Maintain refrigerated at 2-8°C for up to 2 weeks. For long term storage store at -20°C in small aliquots to prevent freeze-thaw cycles. |
|---|---|
| Form/Appearance | Liquid |
| Buffer/Preservatives | PBS, pH 7.4, containing 0.02% sodium azide as Preservative and 50% Glycerol. |
| Expiration Date | 12 months from date of receipt. |
| Disclaimer | For research use only |
Alternative Names
−Similar Products
−COL17A1 Rabbit Polyclonal Antibody [orb385440]
ICC, IF, IHC-P, WB
Human, Mouse, Rat
Rabbit
Polyclonal
Unconjugated
100 μgCOL17A1 rabbit pAb Antibody [orb771425]
ELISA, IF, WB
Human, Mouse, Rat
Polyclonal
Unconjugated
50 μl, 100 μlCollagen XVII Recombinant Rabbit Monoclonal Antibody [orb500086]
IF, IHC-Fr, IHC-P, WB
Mouse, Rat
Human, Mouse, Rat
Rabbit
Recombinant
Unconjugated
50 μl, 100 μl, 25 μl

Quality Guarantee
Explore bioreagents carefree to elevate your research. All our products are rigorously tested for performance. If a product does not perform as described on its datasheet, our scientific support team will provide expert troubleshooting, a prompt replacement, or a refund. For full details, please see our Terms & Conditions and Buying Guide. Contact us at [email protected].

Western blot analysis of 3T3, hepg2 cells using COL17A1 antibody
Quick Database Links
UniProt Details
−Documents Download
Request a Document
Protocol Information
COL17A1 Antibody (orb676497)
Participating in our Biorbyt product reviews program enables you to support fellow scientists by sharing your firsthand experience with our products.
Login to Submit a Review














