You have no items in your shopping cart.
COPS2 Antibody
Description
Images & Validation
−| Tested Applications | ELISA, IF, IHC, IP, WB |
|---|---|
| Dilution Range | WB: 1:500-1:1000; IP: 1:500-1:1000; IHC: 1:50-1:500; IF: 1:10-1:100 |
| Reactivity | Human, Mouse |
Key Properties
−| Antibody Type | Primary Antibody |
|---|---|
| Host | Rabbit |
| Clonality | Polyclonal |
| Isotype | IgG |
| Immunogen | COP9 constitutive photomorphogenic homolog subunit 2(Arabidopsis) |
| Target | COPS2 |
| Molecular Weight | 52 kDa |
| Purity | ≥95% as determined by SDS-PAGE |
| Purification | Immunogen affinity purified |
| Conjugation | Unconjugated |
Storage & Handling
−| Storage | Maintain refrigerated at 2-8°C for up to 2 weeks. For long term storage store at -20°C in small aliquots to prevent freeze-thaw cycles. |
|---|---|
| Form/Appearance | liquid |
| Expiration Date | 12 months from date of receipt. |
| Disclaimer | For research use only |
Similar Products
−TRIP15 rabbit pAb Antibody [orb770894]
ELISA, IF, IHC, WB
Human, Monkey, Mouse, Rat
Polyclonal
Unconjugated
100 μl, 50 μlCOPS2 Rabbit Polyclonal Antibody [orb1640]
IF, IHC-Fr, IHC-P
Bovine, Canine, Human, Porcine
Mouse, Rat
Rabbit
Polyclonal
Unconjugated
50 μl, 100 μl, 200 μl

Quality Guarantee
Explore bioreagents carefree to elevate your research. All our products are rigorously tested for performance. If a product does not perform as described on its datasheet, our scientific support team will provide expert troubleshooting, a prompt replacement, or a refund. For full details, please see our Terms & Conditions and Buying Guide. Contact us at [email protected].

IP Result of anti-COPS2/TRIP15 (IP: orb394907, 3 ug; Detection: orb394907 1:500) with NIH/3T3 cells lysate 2500 ug.

HeLa cells were subjected to SDS PAGE followed by western blot with orb394907 (COPS2 Antibody) at dilution of 1:600.

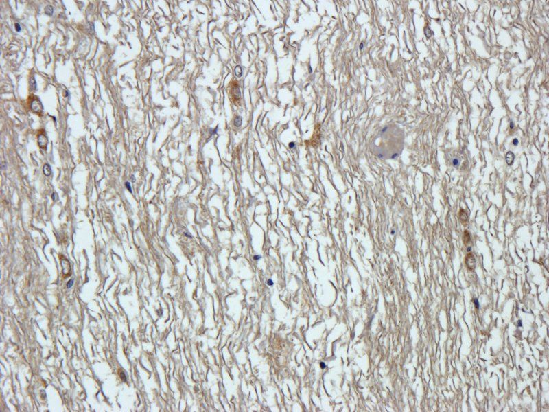
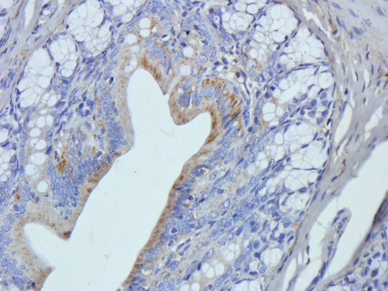
Immunohistochemistry of paraffin-embedded human ovary tumor using orb394907 (COPS2 antibody) at dilution of 1:50.
Quick Database Links
UniProt Details
−Documents Download
Request a Document
Protocol Information
COPS2 Antibody (orb394907)
Participating in our Biorbyt product reviews program enables you to support fellow scientists by sharing your firsthand experience with our products.
Login to Submit a Review












