You have no items in your shopping cart.
CTBP1 Rabbit Polyclonal Antibody
Description
Research Area
Images & Validation
−| Tested Applications | WB |
|---|---|
| Reactivity | Human, Mouse |
| Predicted Reactivity | Canine, Equine, Porcine, Rat |
Key Properties
−| Host | Rabbit |
|---|---|
| Clonality | Polyclonal |
| Immunogen | The immunogen is a synthetic peptide directed towards the C terminal region of human CTBP1 |
| Target | CTBP1 |
| Protein Sequence | Synthetic peptide located within the following region: TGIPAAVEGIVPSAMSLSHGLPPVAHPPHAPSPGQTVKPEADRDHASDQL |
| Molecular Weight | 47kDa |
| Purification | Protein A purified |
| Conjugation | Unconjugated |
Storage & Handling
−| Storage | Maintain refrigerated at 2-8°C for up to 2 weeks. For long term storage store at -20°C in small aliquots to prevent freeze-thaw cycles. |
|---|---|
| Buffer/Preservatives | Liquid. Purified antibody supplied in 1x PBS buffer with 0.09% (w/v) sodium azide and 2% sucrose. |
| Concentration | 1.0 mg/ml |
| Expiration Date | 12 months from date of receipt. |
| Disclaimer | For research use only |
Alternative Names
−Similar Products
−CtBP1 Rabbit Polyclonal Antibody [orb259602]
FC, ICC, IF, IHC, WB
Human, Mouse, Rat
Rabbit
Polyclonal
Unconjugated
100 μgCtBP1 rabbit pAb Antibody [orb767758]
ELISA, IF, IHC, WB
Human, Mouse, Rat
Polyclonal
Unconjugated
100 μl, 50 μlCTBP1 Rabbit Polyclonal Antibody [orb574219]
IHC, WB
Canine, Equine, Porcine, Rat
Human, Mouse
Rabbit
Polyclonal
Unconjugated
100 μlCTBP1 Rabbit Polyclonal Antibody [orb626094]
ELISA, IHC, IP, WB
Human, Mouse
Rabbit
Polyclonal
Unconjugated
100 μg, 50 μg

Quality Guarantee
Explore bioreagents carefree to elevate your research. All our products are rigorously tested for performance. If a product does not perform as described on its datasheet, our scientific support team will provide expert troubleshooting, a prompt replacement, or a refund. For full details, please see our Terms & Conditions and Buying Guide. Contact us at [email protected].

Sample Tissue: Mouse Brain, Antibody dilution: 1 ug/ml.

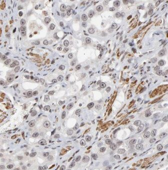
Rabbit Anti-CTBP1 antibody, Paraffin Embedded Tissue: Human Heart cell Cellular Data: cardiac cell of renal tubule, Antibody Concentration: 4.0-8.0 ug/ml, Magnification: 400X.

WB Suggested Anti-CTBP1 Antibody, Titration: 1.25 ug/ml, Positive Control: Jurkat Whole Cell, CTBP1 is strongly supported by BioGPS gene expression data to be expressed in Human Jurkat cells.
Quick Database Links
UniProt Details
−NCBI Reference Sequences
−| Protein | NP_001012632 |
|---|
Documents Download
Request a Document
CTBP1 Rabbit Polyclonal Antibody (orb574220)
Participating in our Biorbyt product reviews program enables you to support fellow scientists by sharing your firsthand experience with our products.
Login to Submit a Review




















