You have no items in your shopping cart.
DNMT1 Antibody
Description
Research Area
Images & Validation
−| Tested Applications | ELISA, IF, IHC, IP, WB |
|---|---|
| Dilution range | WB: 1:500-1:2000; IP: 1:500-1:2000; IHC: 1:20-1:200; IF: 1:10-1:100 |
| Reactivity | Human, Mouse, Rat |
Key Properties
−| Antibody Type | Primary Antibody |
|---|---|
| Host | Rabbit |
| Clonality | Polyclonal |
| Isotype | IgG |
| Immunogen | DNA(cytosine-5-)-methyltransferase 1 |
| Target | DNMT1 |
| Molecular Weight | 180-200 kDa |
| Purity | ≥95% as determined by SDS-PAGE |
| Purification | Immunogen affinity purified |
| Conjugation | Unconjugated |
Storage & Handling
−| Storage | Maintain refrigerated at 2-8°C for up to 2 weeks. For long term storage store at -20°C in small aliquots to prevent freeze-thaw cycles. |
|---|---|
| Form/Appearance | liquid |
| Disclaimer | For research use only |
Alternative Names
−Similar Products
−(Mouse) Dnmt1 Antibody (Center) [orb1926635]
IF, IHC-P, WB
Human, Mouse
Rabbit
Polyclonal
Unconjugated
100 μl, 50 μl

Quality Guarantee
Explore bioreagents carefree to elevate your research. All our products are rigorously tested for performance. If a product does not perform as described on its datasheet, our scientific support team will provide expert troubleshooting, a prompt replacement, or a refund. For full details, please see our Terms & Conditions and Buying Guide. Contact us at [email protected].

Immunofluorescent analysis of HepG2 cells using orb626475 (DNMT1 antibody) at dilution of 1:25 and Rhodamine-Goat anti-Rabbit IgG.

IP Result of anti-DNMT1 (IP: orb626475, 5 ug; Detection: orb626475 1:500) with HEK-293 cells lysate 2500 ug.

293T cells were subjected to SDS PAGE followed by western blot with orb626475 (DNMT1 antibody) at dilution of 1:1000.

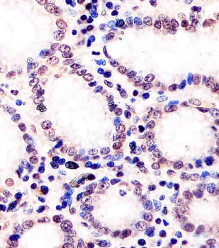
Immunohistochemistry of paraffin-embedded human breast cancer using orb626475 (DNMT1 antibody) at dilution of 1:100.
Quick Database Links
UniProt Details
−Documents Download
Request a Document
Protocol Information
DNMT1 Antibody (orb626475)
Participating in our Biorbyt product reviews program enables you to support fellow scientists by sharing your firsthand experience with our products.
Login to Submit a Review





















