You have no items in your shopping cart.
EDIL3 Antibody
Description
Research Area
Images & Validation
−| Tested Applications | ELISA, IHC, WB |
|---|---|
| Dilution range | WB:1:1000-5000, IHC-P:1:20-200 |
| Reactivity | Human |
Key Properties
−| Host | Rabbit |
|---|---|
| Clonality | Polyclonal |
| Isotype | IgG |
| Immunogen | Recombinant Human EGF-like repeat and discoidin I-like domain-containing protein 3 protein (60-300AA) |
| Target | EDIL3 |
| Purification | Antigen Affinity Purified |
| Conjugation | Unconjugated |
Storage & Handling
−| Storage | Maintain refrigerated at 2-8°C for up to 2 weeks. For long term storage store at -20°C in small aliquots to prevent freeze-thaw cycles. |
|---|---|
| Form/Appearance | Liquid |
| Buffer/Preservatives | PBS with 0.02% sodium azide, 50% glycerol, pH7.3. |
| Disclaimer | For research use only |
Alternative Names
−Similar Products
−Human EGF Like Repeats and Discoidin I Like Domains Protein 3 (EDIL3) ELISA Kit [orb780969]
Human
0.32-20 ng/mL
0.124 ng/mL
96 T, 48 TEDIL3 Antibody (Center) [orb1928160]
FC, IHC-P, WB
Mouse
Human, Mouse, Rat
Rabbit
Polyclonal
Unconjugated
100 μl, 50 μlEDIL3 Antibody [orb626615]
ELISA, IHC, WB
Human, Mouse, Rat
Rabbit
Polyclonal
Unconjugated
100 μg, 50 μg

Quality Guarantee
Explore bioreagents carefree to elevate your research. All our products are rigorously tested for performance. If a product does not perform as described on its datasheet, our scientific support team will provide expert troubleshooting, a prompt replacement, or a refund. For full details, please see our Terms & Conditions and Buying Guide. Contact us at [email protected].

Western blot analysis of 293T(lane 1), Hela(lane 2), HepG-2(lane 3), K562(lane 4) whole cell lysate using EDIL3 antibody

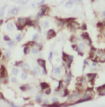
Immunohistochemical staining of human pancreatic cancer using EDIL3 antibody
Quick Database Links
UniProt Details
−Documents Download
Request a Document
Protocol Information
EDIL3 Antibody (orb41295)
Participating in our Biorbyt product reviews program enables you to support fellow scientists by sharing your firsthand experience with our products.
Login to Submit a Review










