You have no items in your shopping cart.
EML2 Antibody
Description
Images & Validation
−| Tested Applications | ELISA, IHC, WB |
|---|---|
| Dilution range | WB: 1:500-1:2000; IHC: 1:20-1:200 |
| Reactivity | Human, Mouse, Rat |
Key Properties
−| Antibody Type | Primary Antibody |
|---|---|
| Host | Rabbit |
| Clonality | Polyclonal |
| Isotype | IgG |
| Immunogen | echinoderm microtubule associated protein like 2 |
| Target | EML2 |
| Molecular Weight | 55 kDa |
| Purity | ≥95% as determined by SDS-PAGE |
| Purification | Immunogen affinity purified |
| Conjugation | Unconjugated |
Storage & Handling
−| Storage | Maintain refrigerated at 2-8°C for up to 2 weeks. For long term storage store at -20°C in small aliquots to prevent freeze-thaw cycles. |
|---|---|
| Form/Appearance | liquid |
| Disclaimer | For research use only |
Alternative Names
−Similar Products
−Human Echinoderm Microtubule Associated Protein Like Protein 2 (EML2) ELISA Kit [orb780740]
Human
0.32-20 ng/mL
0.109 ng/mL
96 T, 48 TRat Echinoderm Microtubule Associated Protein Like Protein 2 (EML2) ELISA Kit [orb781858]
Rat
0.32-20 ng/mL
0.13 ng/mL
48 T, 96 TEML2 Antibody [orb666586]
WB
Human, Mouse, Rat
Rabbit
Polyclonal
Unconjugated
30 μl, 50 μl, 100 μl, 200 μl

Quality Guarantee
Explore bioreagents carefree to elevate your research. All our products are rigorously tested for performance. If a product does not perform as described on its datasheet, our scientific support team will provide expert troubleshooting, a prompt replacement, or a refund. For full details, please see our Terms & Conditions and Buying Guide. Contact us at [email protected].

PC-3 cells were subjected to SDS PAGE followed by western blot with orb626724 (EML2 antibody) at dilution of 1:400.

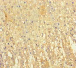
Immunohistochemistry of paraffin-embedded human prostate cancer using orb626724 (EML2 antibody) at dilution of 1:100.
Quick Database Links
UniProt Details
−Documents Download
Request a Document
Protocol Information
EML2 Antibody (orb626724)
Participating in our Biorbyt product reviews program enables you to support fellow scientists by sharing your firsthand experience with our products.
Login to Submit a Review





