You have no items in your shopping cart.
FAM3C Antibody
Description
Research Area
Images & Validation
−| Tested Applications | ELISA, IF, IHC, WB |
|---|---|
| Dilution range | WB: 1:500-1:2000; IHC: 1:50-1:500; IF: 1:50-1:500 |
| Reactivity | Human |
Key Properties
−| Antibody Type | Primary Antibody |
|---|---|
| Host | Mouse |
| Clonality | Monoclonal |
| Isotype | IgG2a |
| Immunogen | family with sequence similarity 3, member C |
| Target | FAM3C |
| Molecular Weight | 25kd |
| Purity | ≥95% as determined by SDS-PAGE |
| Purification | Protein A+G purified |
| Conjugation | Unconjugated |
Storage & Handling
−| Storage | Maintain refrigerated at 2-8°C for up to 2 weeks. For long term storage store at -20°C in small aliquots to prevent freeze-thaw cycles. |
|---|---|
| Form/Appearance | liquid |
| Disclaimer | For research use only |
Alternative Names
−Similar Products
−FAM3C Rabbit Polyclonal Antibody [orb100451]
IF, IHC-Fr, IHC-P, WB
Bovine, Canine, Equine, Gallus, Mouse, Porcine
Human, Rat
Rabbit
Polyclonal
Unconjugated
200 μl, 50 μl, 100 μlFAM3C Antibody [orb626924]
ELISA, IHC, WB
Human, Mouse, Rat
Rabbit
Polyclonal
Unconjugated
100 μg, 50 μgFAM3C rabbit pAb Antibody [orb773826]
ELISA, WB
Human, Mouse, Rat
Polyclonal
Unconjugated
100 μl, 50 μl

Quality Guarantee
Explore bioreagents carefree to elevate your research. All our products are rigorously tested for performance. If a product does not perform as described on its datasheet, our scientific support team will provide expert troubleshooting, a prompt replacement, or a refund. For full details, please see our Terms & Conditions and Buying Guide. Contact us at [email protected].

Immunofluorescent analysis of (-20℃ Ethanol) fixed HepG2 cells using orb395029 (FAM3C antibody) at dilution of 1:100 and Alexa Fluor 488-conjugated Goat Anti-Mouse IgG (H+L).

fetal human brain tissue were subjected to SDS PAGE followed by western blot with orb395029 (FAM3C Antibody) at dilution of 1:1000.

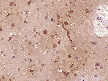
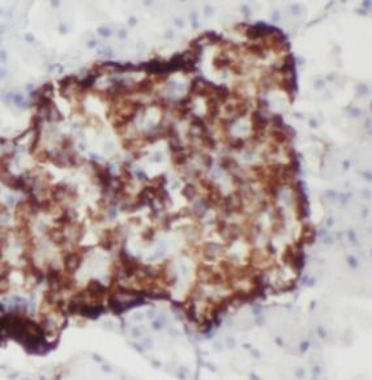
Immunohistochemistry of paraffin-embedded human liver cancer tissue slide using orb395029 (FAM3C Antibody) at dilution of 1:200.
Quick Database Links
UniProt Details
−Documents Download
Request a Document
Protocol Information
FAM3C Antibody (orb395029)
Participating in our Biorbyt product reviews program enables you to support fellow scientists by sharing your firsthand experience with our products.
Login to Submit a Review






