You have no items in your shopping cart.
FGF12 Antibody
Description
Research Area
Images & Validation
−| Tested Applications | ELISA, IHC |
|---|---|
| Dilution Range | IHC-P:1:20-200 |
| Reactivity | Human |
Key Properties
−| Host | Rabbit |
|---|---|
| Clonality | Polyclonal |
| Isotype | IgG |
| Immunogen | Recombinant Human Fibroblast growth factor 12 protein (1-181AA) |
| Target | FGF12 |
| Purification | Antigen Affinity Purified |
| Conjugation | Unconjugated |
Storage & Handling
−| Storage | Maintain refrigerated at 2-8°C for up to 2 weeks. For long term storage store at -20°C in small aliquots to prevent freeze-thaw cycles. |
|---|---|
| Form/Appearance | Liquid |
| Buffer/Preservatives | PBS with 0.02% sodium azide, 50% glycerol, pH7.3. |
| Expiration Date | 12 months from date of receipt. |
| Disclaimer | For research use only |
Alternative Names
−Similar Products
−Human Fibroblast Growth Factor 12 (FGF12) ELISA Kit [orb777229]
Human
15.63-1000 pg/mL
5.5 pg/mL
96 T, 48 TRat Fibroblast Growth Factor 12 (FGF12) ELISA Kit [orb780538]
Rat
15.63-1000 pg/mL
6.1 pg/mL
96 T, 48 TMouse Fibroblast Growth Factor 12 (FGF12) ELISA Kit [orb780070]
Mouse
15.63-1000 pg/mL
6.3 pg/mL
96 T, 48 TFGF-12 rabbit pAb Antibody [orb766766]
ELISA, IF, IHC, WB
Human, Mouse, Rat
Polyclonal
Unconjugated
100 μl

Quality Guarantee
Explore bioreagents carefree to elevate your research. All our products are rigorously tested for performance. If a product does not perform as described on its datasheet, our scientific support team will provide expert troubleshooting, a prompt replacement, or a refund. For full details, please see our Terms & Conditions and Buying Guide. Contact us at [email protected].

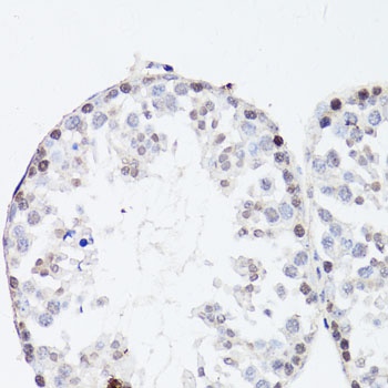
Immunohistochemical staining of human testis tissue using FGF12 antibody

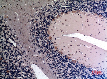
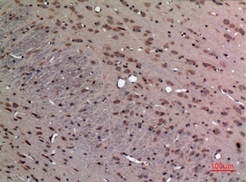
Immunohistochemical staining of human brain tissue using FGF12 antibody
Quick Database Links
UniProt Details
−Documents Download
Request a Document
Protocol Information
FGF12 Antibody (orb41488)
Participating in our Biorbyt product reviews program enables you to support fellow scientists by sharing your firsthand experience with our products.
Login to Submit a Review









