You have no items in your shopping cart.
GNAO1 Antibody
Description
Research Area
Images & Validation
−| Tested Applications | ELISA, IHC, WB |
|---|---|
| Dilution Range | WB: 1:500 - 1:2000; IHC: 1:50 - 1:200 |
| Reactivity | Human, Mouse |
Key Properties
−| Antibody Type | Primary Antibody |
|---|---|
| Host | Rabbit |
| Clonality | Polyclonal |
| Isotype | IgG |
| Immunogen | guanine nucleotide binding protein (G protein), alpha activating activity polypeptide O |
| Target | GNAO1 |
| Molecular Weight | 39 kDa |
| Purity | ≥95% as determined by SDS-PAGE |
| Purification | Immunogen affinity purified |
| Conjugation | Unconjugated |
Storage & Handling
−| Storage | Maintain refrigerated at 2-8°C for up to 2 weeks. For long term storage store at -20°C in small aliquots to prevent freeze-thaw cycles. |
|---|---|
| Form/Appearance | liquid |
| Expiration Date | 12 months from date of receipt. |
| Disclaimer | For research use only |
Similar Products
−Mouse G Protein Alpha Activating Activity Polypeptide O (GNaO1) ELISA Kit [orb781631]
Mouse
0.16-10 ng/mL
0.063 ng/mL
96 T, 48 TRat G Protein Alpha Activating Activity Polypeptide O (GNaO1) ELISA Kit [orb781614]
Rat
0.16-10 ng/mL
0.059 ng/mL
96 T, 48 TGNAO1 Antibody (C-term) [orb1928090]
FC, WB
Bovine
Human, Mouse, Rat
Rabbit
Polyclonal
Unconjugated
50 μl, 100 μlGNAO1 Rabbit Polyclonal Antibody [orb582754]
IHC, WB
Bovine, Canine, Equine, Guinea pig, Mouse, Rabbit, Rat, Sheep, Yeast, Zebrafish
Human
Rabbit
Polyclonal
Unconjugated
100 μl

Quality Guarantee
Explore bioreagents carefree to elevate your research. All our products are rigorously tested for performance. If a product does not perform as described on its datasheet, our scientific support team will provide expert troubleshooting, a prompt replacement, or a refund. For full details, please see our Terms & Conditions and Buying Guide. Contact us at [email protected].

rat brain tissue were subjected to SDS PAGE followed by western blot with orb627408 (GNAO1 Antibody) at dilution of 1:1000.

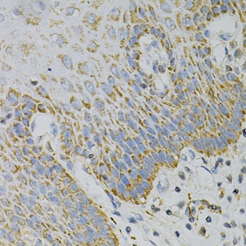
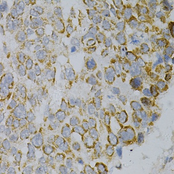
Immunohistochemistry of paraffin-embedded human esophagus using orb627408 (GNAO1 antibody) at dilution of 1:100.
Quick Database Links
UniProt Details
−Documents Download
Request a Document
Protocol Information
GNAO1 Antibody (orb627408)
Participating in our Biorbyt product reviews program enables you to support fellow scientists by sharing your firsthand experience with our products.
Login to Submit a Review









