You have no items in your shopping cart.
FACL4/ACSL4 Antibody
Description
Research Area
Images & Validation
−| Tested Applications | ELISA, FC, IF, IHC, WB |
|---|---|
| Dilution Range | ELISA: 1:128000, WB: 0.1-0.3 μg/ml, IHC-P: 3.75 μg/ml |
| Reactivity | Human |
| Predicted Reactivity | Bovine, Canine, Mouse, Porcine, Rat |
| Application Notes |
Key Properties
−| Host | Goat |
|---|---|
| Clonality | Polyclonal |
| Target | FACL4 / ACSL4 |
| Protein Sequence | HYLKDIERMYGGK |
| Molecular Weight | 74.4; 79.2 |
| Purification | Purified from goat serum by ammonium sulphate precipitation followed by antigen affinity chromatography using the immunizing peptide. |
| Conjugation | Unconjugated |
Storage & Handling
−| Storage | Maintain refrigerated at 2-8°C for up to 2 weeks. For long term storage store at -20°C in small aliquots to prevent freeze-thaw cycles. |
|---|---|
| Buffer/Preservatives | Supplied at 0.5 mg/ml in Tris saline, 0.02% sodium azide, pH 7.3 with 0.5% bovine serum albumin. Aliquot and store at -20°C. Minimize freezing and thawing. |
| Expiration Date | 12 months from date of receipt. |
| Disclaimer | For research use only |
Alternative Names
−Similar Products
−FACL4/ACSL4 Mouse Monoclonal Antibody [orb865675]
FC, ICC, IF, IHC, WB
Human
Mouse
Monoclonal
Unconjugated
100 μgFACL4/ACSL4 Rabbit Polyclonal Antibody [orb614094]
FC, ICC, IF, IHC, WB
Human, Mouse, Rat
Rabbit
Polyclonal
Unconjugated
100 μgFACL4/ACSL4 Rabbit Polyclonal Antibody [orb1145843]
ELISA, WB
Human, Mouse, Rat
Rabbit
Polyclonal
Unconjugated
100 μgFACL4/ACSL4 Rabbit Polyclonal Antibody (PE) [orb2596286]
FC
Human, Mouse, Rat
Rabbit
Polyclonal
PE
100 μgFACL4/ACSL4 Rabbit Polyclonal Antibody (APC) [orb2596287]
FC
Human, Mouse, Rat
Rabbit
Polyclonal
APC
100 μg

Quality Guarantee
Explore bioreagents carefree to elevate your research. All our products are rigorously tested for performance. If a product does not perform as described on its datasheet, our scientific support team will provide expert troubleshooting, a prompt replacement, or a refund. For full details, please see our Terms & Conditions and Buying Guide. Contact us at [email protected].

orb18692 (0.1ug/ml) staining of HepG2 lysate (35ug protein in RIPA buffer).

Immunohistochemical staining of Human Small Intestine using ACSL4 antibody

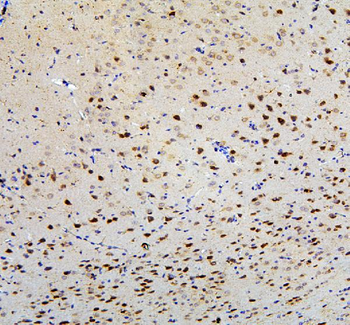
Immunohistochemical staining of Human Cortex using ACSL4 antibody

Immunofluorescence analysis of HeLa cells, permeabilized with 0.15% Triton of ACSL4 antibody

Flow cytometric analysis of HeLa cells using ACSL4 antibody
Documents Download
Request a Document
Protocol Information
FACL4/ACSL4 Antibody (orb18692)
Participating in our Biorbyt product reviews program enables you to support fellow scientists by sharing your firsthand experience with our products.
Login to Submit a Review














