You have no items in your shopping cart.
TGFBI Antibody
Description
Research Area
Images & Validation
−| Tested Applications | ELISA, IF, IHC, WB |
|---|---|
| Dilution range | ELISA: 1:32000, WB: 0.2-0.5 μg/ml, IHC-P: 4-6 μg/ml |
| Reactivity | Human, Rat |
| Predicted Reactivity | Canine, Mouse |
| Application Notes |
Key Properties
−| Host | Goat |
|---|---|
| Clonality | Polyclonal |
| Target | TGFBI |
| Molecular Weight | 74.7 |
| Purification | Purified from goat serum by ammonium sulphate precipitation followed by antigen affinity chromatography using the immunizing peptide. |
| Conjugation | Unconjugated |
Storage & Handling
−| Storage | Maintain refrigerated at 2-8°C for up to 2 weeks. For long term storage store at -20°C in small aliquots to prevent freeze-thaw cycles. |
|---|---|
| Buffer/Preservatives | Supplied at 0.5 mg/ml in Tris saline, 0.02% sodium azide, pH 7.3 with 0.5% bovine serum albumin. Aliquot and store at -20°C. Minimize freezing and thawing. |
| Disclaimer | For research use only |
Alternative Names
−Similar Products
−TGFBI Recombinant Rabbit Monoclonal Antibody [orb1499365]
FC, IF, IHC-Fr, IHC-P, WB
Rat
Human, Mouse, Rat
Rabbit
Recombinant
Unconjugated
25 μl, 100 μl, 50 μlHuman Transforming Growth Factor Beta Induced Protein (TGFbI) ELISA Kit [orb776655]
Human
0.63-40 ng/mL
0.232 ng/mL
48 T, 96 TTGFBI Antibody (N-term) [orb1934665]
FC, WB
Mouse, Porcine, Rabbit
Human
Rabbit
Polyclonal
Unconjugated
100 μl, 50 μlTGFBI Rabbit Polyclonal Antibody [orb330378]
ICC, IF, WB
Bovine, Canine, Equine, Guinea pig, Mouse, Rabbit, Rat
Human
Rabbit
Polyclonal
Unconjugated
100 μl

Quality Guarantee
Explore bioreagents carefree to elevate your research. All our products are rigorously tested for performance. If a product does not perform as described on its datasheet, our scientific support team will provide expert troubleshooting, a prompt replacement, or a refund. For full details, please see our Terms & Conditions and Buying Guide. Contact us at [email protected].

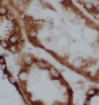
Immunohistochemical staining of Human Kidney using TGFBI antibody

Western blot analysis of Human Kidney (A), Colorectal cancer (B), Human Prostate (C) and Rat Kidney (D) lysate using TGFBI antibody.

Immunofluorescence analysis of paraformaldehyde fixed HeLa cells using TGFBI antibody.
Documents Download
Request a Document
Protocol Information
TGFBI Antibody (orb20453)
Participating in our Biorbyt product reviews program enables you to support fellow scientists by sharing your firsthand experience with our products.
Login to Submit a Review












