You have no items in your shopping cart.
GSK3A Rabbit Polyclonal Antibody
Description
Images & Validation
−| Tested Applications | IF, IHC-Fr, IHC-P, WB |
|---|---|
| Dilution range | WB=1:500-2000, IHC-P=1:100-500, IHC-F=1:100-500, IF=1:100-500 |
| Reactivity | Human, Mouse, Rat |
| Predicted Reactivity | Bovine, Porcine, Rabbit, Sheep |
Related Conjugates & Formulations
−Key Properties
−| Antibody Type | Primary Antibody |
|---|---|
| Host | Rabbit |
| Clonality | Polyclonal |
| Isotype | IgG |
| Immunogen | KLH conjugated synthetic peptide derived from human GSK3A (51-150/483aa) |
| Target | GSK3A |
| Molecular Weight | 54 kDa |
| Purification | Affinity purified by Protein A |
| Conjugation | Unconjugated |
Storage & Handling
−| Storage | Maintain refrigerated at 2-8°C for up to 2 weeks. For long term storage store at -20°C in small aliquots to prevent freeze-thaw cycles. |
|---|---|
| Form/Appearance | Liquid |
| Buffer/Preservatives | 0.01M TBS (pH7.4) with 1% rAlbumin, 0.02% Proclin300 and 50% Glycerol. |
| Concentration | 1mg/ml |
| Disclaimer | For research use only |
Alternative Names
−Similar Products
−GSK3α/β (phospho Tyr279/216) Polyclonal Antibody [orb1415399]
IF, IHC-P, WB
Human, Mouse, Rat
Rabbit
Polyclonal
Unconjugated
100 μlGSK3α/β (phospho Tyr279/216) rabbit pAb [orb764196]
ELISA, IF, IHC-P, WB
Human, Mouse, Rat
Polyclonal
Unconjugated
100 μl, 50 μlGSK3α rabbit pAb [orb765360]
ELISA, IHC-P, IP, WB
Human, Mouse, Rat
Polyclonal
Unconjugated
100 μl, 50 μlGSK3α/β rabbit pAb [orb765361]
ELISA, IHC-P, WB
Drosophila, Human, Mouse, Rat
Polyclonal
Unconjugated
100 μl, 50 μlPhospho-GSK3 Alpha + Beta (Tyr279+Tyr216) Rabbit Polyclonal Antibody [orb783420]
WB
Bovine, Canine, Equine, Gallus, Guinea pig, Porcine, Rabbit, Sheep
Human, Mouse, Rat
Rabbit
Polyclonal
Unconjugated
50 μl, 100 μl, 200 μl

Quality Guarantee
Explore bioreagents carefree to elevate your research. All our products are rigorously tested for performance. If a product does not perform as described on its datasheet, our scientific support team will provide expert troubleshooting, a prompt replacement, or a refund. For full details, please see our Terms & Conditions and Buying Guide. Contact us at [email protected].

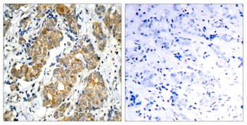
Paraformaldehyde-fixed, paraffin embedded (Rat brain), Antigen retrieval by microwave in sodium citrate buffer (pH6.0), Block endogenous peroxidase by 3% hydrogen peroxide for 30 minutes, Blocking buffer (3% BSA) at RT for 30 min, Antibody incubation with (GSK3 alpha) Polyclonal Antibody, Unconjugated (orb312257) at 1:400 overnight at 4°C, followed by conjugation to the secondary antibody (labeled with HRP) and DAB staining.

Sample: Cerebrum (Mouse) Lysate at 40 ug, Primary: Anti-GSK3 alpha (orb312257) at 1/1000 dilution, Secondary: IRDye800CW Goat Anti-Rabbit IgG at 1/20000 dilution, Predicted band size: 54 kD, Observed band size: 54 kD.

Sample: K562 (human) cell Lysate at 40 ug, Primary: Anti-GSK3 alpha (orb312257) at 1/300 dilution, Secondary: IRDye800CW Goat Anti-RabbitIgG at 1/20000 dilution, Predicted band size: 54kD, Observed band size: 54kD.

Sample: Raji Cell (Human) Lysate at 30 ug, Primary: Anti-GSK3 alpha (orb312257) at 1/300 dilution, Secondary: IRDye800CW Goat Anti-Rabbit IgG at 1/20000 dilution, Predicted band size: 54 kD, Observed band size: 54 kD.
Quick Database Links
UniProt Details
−Documents Download
Request a Document
Protocol Information
GSK3A Rabbit Polyclonal Antibody (orb312257)
Participating in our Biorbyt product reviews program enables you to support fellow scientists by sharing your firsthand experience with our products.
Login to Submit a Review




















