You have no items in your shopping cart.
HLA-DPB1, HLA-DQA1 Antibody
Description
Research Area
Images & Validation
−| Tested Applications | IF, IHC-P, WB |
|---|---|
| Reactivity | Human |
| Application Notes |
Key Properties
−| Antibody Type | Primary Antibody |
|---|---|
| Host | Mouse |
| Clonality | Monoclonal |
| Isotype | IgG1, kappa |
| Clone No. | CR3/43 |
| Immunogen | Human tonsil cells were used as the immunogen for the HLA-DP/DQ/DR antibody. |
| Target | HLA-DPB1, HLA-DQA1 |
| Purification | Protein G affinity chromatography |
| Conjugation | Unconjugated |
Storage & Handling
−| Storage | Maintain refrigerated at 2-8°C for up to 2 weeks. For long term storage store at -20°C in small aliquots to prevent freeze-thaw cycles. |
|---|---|
| Form/Appearance | Liquid |
| Buffer/Preservatives | PBS with 0.1 mg/ml rAlbumin and 0.05% sodium azide |
| Concentration | 0.2 mg/mL |
| Expiration Date | 12 months from date of receipt. |
| Disclaimer | For research use only |
Similar Products
−HLA-DPB1 Antibody [orb2309298]
IHC, WB
Guinea pig, Hamster, Human, Mouse, Rat
Rabbit
Monoclonal
Unconjugated
100 μg, 20 μg, 100 μg (without BSA and Azide)HLA-DPB1 Antibody [orb2309675]
IHC, WB
Human
Rabbit
Monoclonal
Unconjugated
100 μg, 20 μg, 100 μg (without BSA and Azide)HLA-DPB1 Antibody [orb388221]
ELISA, FC, IF, IHC, WB
Human
Mouse
Monoclonal
Unconjugated
20 μg, 100 μg, 100 μg (without BSA and Azide)HLA-DPB1 Antibody [orb1410557]
FC, IHC, WB
Human
Mouse
Monoclonal
Unconjugated
20 μg, 100 μg, 100 μg (without BSA and Azide)

Quality Guarantee
Explore bioreagents carefree to elevate your research. All our products are rigorously tested for performance. If a product does not perform as described on its datasheet, our scientific support team will provide expert troubleshooting, a prompt replacement, or a refund. For full details, please see our Terms & Conditions and Buying Guide. Contact us at [email protected].

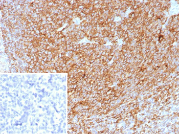
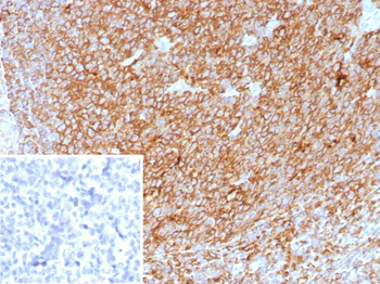
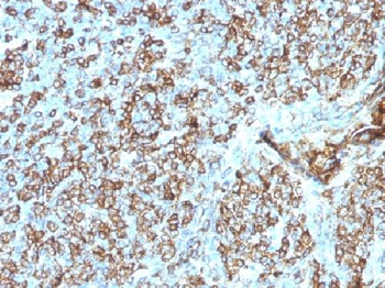
IHC testing of FFPE human tonsil tissue with HLA-DP/DQ/DR antibody (clone CR3/43). Required HIER: boil tissue sections in 10mM citrate buffer, pH 6, for 10-20 min.

IHC testing of FFPE human tonsil tissue with HLA-DP/DQ/DR antibody (clone CR3/43). Required HIER: boil tissue sections in 10mM citrate buffer, pH 6, for 10-20 min.

Western blot testing of human Raji cell lysate with HLA-DP/DQ/DR antibody (clone CR3/43). Expected molecular weight ~36 kDa (alpha chain) and ~27 kDa (beta chain).

SDS-PAGE Analysis of Purified, BSA-Free HLA-DP/DQ/DR Antibody (clone CR3/43). Confirmation of Integrity and Purity of the Antibody.

IF/ICC staining of human Raji cells with HLA-DP/DQ/DR antibody (green) and Reddot nuclear stain (red).

Flow cytometry testing of human Raji cells with HLA-DP/DQ/DR antibody at 1 ug/10^6 cells (blocked with goat sera); Red = isotype control, Blue = HLA-DP/DQ/DR antibody.
Documents Download
Request a Document
Protocol Information
HLA-DPB1, HLA-DQA1 Antibody (orb1252224)
Participating in our Biorbyt product reviews program enables you to support fellow scientists by sharing your firsthand experience with our products.
Login to Submit a Review









