You have no items in your shopping cart.
Description
Research Area
Images & Validation
−| Tested Applications | IHC, WB |
|---|---|
| Reactivity | Guinea pig, Hamster, Human, Mouse, Rat |
Key Properties
−| Antibody Type | Recombinant Antibody |
|---|---|
| Host | Rabbit |
| Clonality | Monoclonal |
| Isotype | IgG |
| Clone No. | HLA-Pan/9268R |
| Immunogen | Priess human B cell line |
| Target | HLA-DPB1 |
| Source/Expression System | HEK293 cells |
| Molecular Weight | 33-35kDa |
| Conjugation | Unconjugated |
Storage & Handling
−| Storage | Maintain refrigerated at 2-8°C for up to 2 weeks. For long term storage store at -20°C in small aliquots to prevent freeze-thaw cycles. |
|---|---|
| Form/Appearance | 200ug/ml of Ab purified from Bioreactor Concentrate by Protein A/G. Prepared in 10mM PBS with 0.05% rAlbumin & 0.05% azide. Also available WITHOUT rAlbumin & azide at 1.0mg/ml. |
| Expiration Date | 12 months from date of receipt. |
| Disclaimer | For research use only |
Alternative Names
−Similar Products
−MERTK Rabbit Polyclonal Antibody [orb763059]
ELISA, FC, IHC, WB
Human, Mouse, Rat
Rabbit
Polyclonal
Unconjugated
100 μgHLA-DPB1 Antibody (Center) [orb1936361]
FC, IHC-P, WB
Human
Rabbit
Polyclonal
Unconjugated
100 μl, 50 μlHLA-DPA1 Recombinant Rabbit Monoclonal Antibody [orb1151982]
ICC, IF, IHC-Fr, IHC-P, WB
Mouse
Human, Mouse
Rabbit
Recombinant
Unconjugated
25 μl, 100 μl, 50 μlHLA-DPB1 Rabbit Polyclonal Antibody [orb5450]
FC, IF, IHC-Fr, IHC-P, WB
Mouse
Human, Mouse
Rabbit
Polyclonal
Unconjugated
50 μl, 100 μl, 200 μl

Quality Guarantee
Explore bioreagents carefree to elevate your research. All our products are rigorously tested for performance. If a product does not perform as described on its datasheet, our scientific support team will provide expert troubleshooting, a prompt replacement, or a refund. For full details, please see our Terms & Conditions and Buying Guide. Contact us at [email protected].

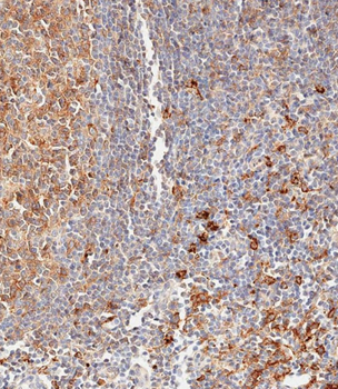
Formalin-fixed, paraffin-embedded human tonsil stained with HLA-Pan Rabbit Recombinant Monoclonal Antibody (HLA-Pan/9268R). HIER: Tris/EDTA, pH9.0, 45 min. 2°C: HRP-polymer, 30 min. DAB, 5 min.

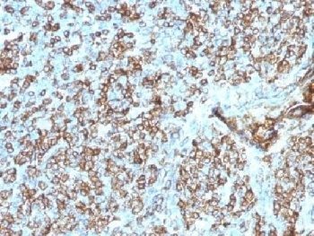
Formalin-fixed, paraffin-embedded human tonsil stained with HLA-Pan Rabbit Recombinant Monoclonal Antibody (HLA-Pan/9268R). Inset: PBS instead of primary antibody; secondary only negative control.

SDS-PAGE Analysis of Purified HLA-Pan Rabbit Recombinant Monoclonal (HLA-Pan/9268R). Confirmation of Purity and Integrity of Antibody.
Documents Download
Request a Document
Protocol Information
HLA-DPB1 Antibody (orb2309298)
Participating in our Biorbyt product reviews program enables you to support fellow scientists by sharing your firsthand experience with our products.
Login to Submit a Review



























