You have no items in your shopping cart.
HLA-DRB5 Antibody
Description
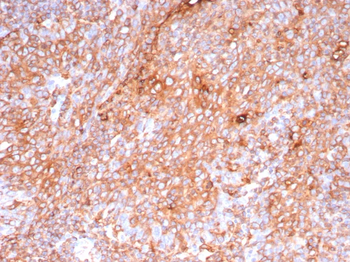
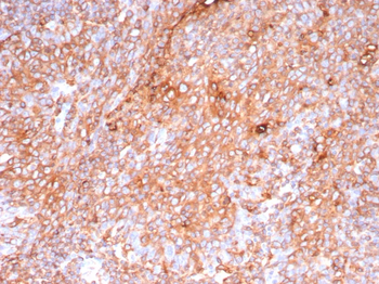
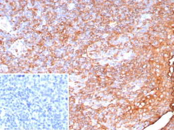
Images & Validation
−| Tested Applications | IHC, WB |
|---|---|
| Dilution Range | WB 1:500, IHC 1:150 |
| Reactivity | Human |
Key Properties
−| Host | Mouse |
|---|---|
| Clonality | Monoclonal |
| Isotype | IgG1 |
| Immunogen | Human recombinant protein fragment corresponding to amino acids 30-266 of human HLA-DRB5 (NP_002116) produced in E.coli. |
| Target | HLA-DRB5 |
| Purification | Purified from mouse ascites fluids or tissue culture supernatant by affinity chromatography (protein A/G) |
| Conjugation | Unconjugated |
Storage & Handling
−| Storage | Maintain refrigerated at 2-8°C for up to 2 weeks. For long term storage store at -20°C in small aliquots to prevent freeze-thaw cycles. |
|---|---|
| Buffer/Preservatives | PBS (PH 7.3) containing 1% rAlbumin, 50% glycerol and 0.02% sodium azide. |
| Expiration Date | 12 months from date of receipt. |
| Disclaimer | For research use only |
Alternative Names
−Similar Products
−HLA-DRA Antibody [orb1410572]
FC, IF, IHC, WB
Human
Mouse
Monoclonal
Unconjugated
20 μg, 100 μg, 100 μg (without BSA and Azide)HLA-DR Recombinant Rabbit Monoclonal Antibody [orb783409]
IF, IHC-Fr, IHC-P, WB
Mouse, Rat
Human
Rabbit
Recombinant
Unconjugated
100 μl, 50 μlHLA-DRA Rabbit Polyclonal Antibody [orb10823]
IF, IHC-Fr, IHC-P, WB
Bovine, Canine, Equine, Porcine, Sheep
Human
Rabbit
Polyclonal
Unconjugated
200 μl, 50 μl, 100 μlHLA-DPB1 Antibody [orb2309298]
IHC, WB
Guinea pig, Hamster, Human, Mouse, Rat
Rabbit
Monoclonal
Unconjugated
100 μg, 20 μg, 100 μg (without BSA and Azide)

Quality Guarantee
Explore bioreagents carefree to elevate your research. All our products are rigorously tested for performance. If a product does not perform as described on its datasheet, our scientific support team will provide expert troubleshooting, a prompt replacement, or a refund. For full details, please see our Terms & Conditions and Buying Guide. Contact us at [email protected].

Western blot analysis of HEK293T cells were transfected with the pCMV6-ENTRY control ( Left lane) or pCMV6-ENTRY HLA ( Right lane) using HLA-DRB5 antibody
Quick Database Links
Documents Download
Request a Document
Protocol Information
HLA-DRB5 Antibody (orb1313108)
Participating in our Biorbyt product reviews program enables you to support fellow scientists by sharing your firsthand experience with our products.
Login to Submit a Review















