You have no items in your shopping cart.
HPCAL1 Antibody
Description
Research Area
Images & Validation
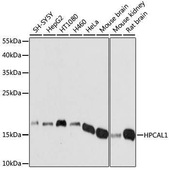
−| Tested Applications | ELISA, IF, IHC |
|---|---|
| Dilution Range | IHC-P:1:20-200, IF:1:50-200 |
| Reactivity | Human |
Key Properties
−| Host | Rabbit |
|---|---|
| Clonality | Polyclonal |
| Isotype | IgG |
| Immunogen | Recombinant Human Hippocalcin-like protein 1 protein (2-193AA) |
| Target | HPCAL1 |
| Purification | Antigen Affinity Purified |
| Conjugation | Unconjugated |
Storage & Handling
−| Storage | Maintain refrigerated at 2-8°C for up to 2 weeks. For long term storage store at -20°C in small aliquots to prevent freeze-thaw cycles. |
|---|---|
| Form/Appearance | Liquid |
| Buffer/Preservatives | Preservative: 0.03% Proclin 300. Constituents: 50% Glycerol |
| Expiration Date | 12 months from date of receipt. |
| Disclaimer | For research use only |
Alternative Names
−Similar Products
−Human Hippocalcin Like Protein 1 (HPCAL1) ELISA Kit [orb779103]
Human
0.16-10 ng/mL
0.056 ng/mL
96 T, 48 THPCAL1 Rabbit Polyclonal Antibody [orb395759]
ELISA, IF, IHC, IP, WB
Human, Mouse, Rat
Rabbit
Polyclonal
Unconjugated
50 μg, 100 μgHpcal1 Rabbit Polyclonal Antibody [orb324571]
WB
Bovine, Canine, Equine, Guinea pig, Human, Rabbit, Rat, Sheep, Zebrafish
Mouse
Rabbit
Polyclonal
Unconjugated
100 μlHpcal1 Rabbit Polyclonal Antibody [orb324751]
WB
Bovine, Canine, Equine, Guinea pig, Human, Rabbit, Rat, Sheep, Zebrafish
Mouse
Rabbit
Polyclonal
Unconjugated
100 μl

Quality Guarantee
Explore bioreagents carefree to elevate your research. All our products are rigorously tested for performance. If a product does not perform as described on its datasheet, our scientific support team will provide expert troubleshooting, a prompt replacement, or a refund. For full details, please see our Terms & Conditions and Buying Guide. Contact us at [email protected].

Immunohistochemistry of paraffin-embedded human breast cancer tissue using HPCAL1 antibody

Immunofluorescent analysis of PC-3 cells using HPCAL1 antibody

Immunohistochemistry of paraffin-embedded human kidney tissue using HPCAL1 antibody
Quick Database Links
UniProt Details
−Documents Download
Request a Document
Protocol Information
HPCAL1 Antibody (orb355227)
Participating in our Biorbyt product reviews program enables you to support fellow scientists by sharing your firsthand experience with our products.
Login to Submit a Review






