You have no items in your shopping cart.
Hsp27 Rabbit mAb
Description
Research Area
Images & Validation
−| Tested Applications | ICC, IF, IHC-Fr, IHC-P, IP, WB |
|---|---|
| Dilution range | WB: 1/500-1/1000 IHC: 1/50-1/100 IF: 1/50-1/200 IP: 1/20 |
| Reactivity | Human, Mouse |
Key Properties
−| Antibody Type | Primary Antibody |
|---|---|
| Clonality | Monoclonal |
| Isotype | IgG |
| Clone No. | R07-9G2 |
| Immunogen | A synthetic peptide of human Hsp27 |
| Target | HSPB1 |
| Molecular Weight | Calculated MW: 23 kDa; Observed MW: 27 kDa |
| Purification | Affinity Purified |
| Conjugation | Unconjugated |
Storage & Handling
−| Storage | Maintain refrigerated at 2-8°C for up to 2 weeks. For long term storage store at -20°C in small aliquots to prevent freeze-thaw cycles. |
|---|---|
| Form/Appearance | Liquid |
| Buffer/Preservatives | 50mM Tris-Glycine(pH 7.4), 0.15M NaCl, 40%Glycerol, 0.01% sodium azide and 0.05% rAlbumin. |
| Concentration | 0.3 mg/ml |
| Disclaimer | For research use only |
Alternative Names
−Similar Products
−Phospho-MAPKAPK2 (Thr334) (H2) rabbit mAb Antibody [orb1946227]
FC, WB
Human, Mouse
Rabbit
Monoclonal
Unconjugated
200 μl, 20 μlSAFB1 Rabbit mAb [orb1564293]
ICC, IF, IHC-Fr, IHC-P, WB
Human, Mouse
Monoclonal
Unconjugated
100 μl, 20 μl, 50 μlPhospho-HSP27 (Ser82) (CB2) rabbit mAb Antibody [orb1946056]
FC, WB
Human, Mouse
Rabbit
Monoclonal
Unconjugated
200 μl, 20 μl

Quality Guarantee
Explore bioreagents carefree to elevate your research. All our products are rigorously tested for performance. If a product does not perform as described on its datasheet, our scientific support team will provide expert troubleshooting, a prompt replacement, or a refund. For full details, please see our Terms & Conditions and Buying Guide. Contact us at [email protected].

Western blot analysis of Hsp27 in mouse muscle, mouse heart lysates using Hsp27 antibody.

Western blot analysis of Hsp27 in K562 lysates using Hsp27 antibody.

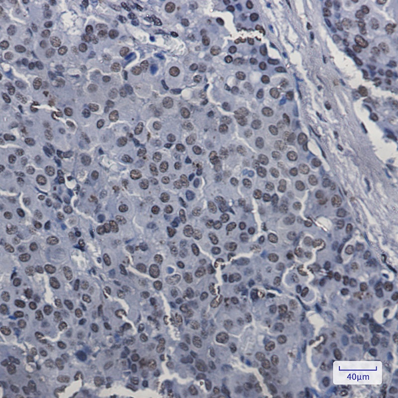
Immunohistochemistry analysis of paraffin-embedded Human tonsil using Hsp27 antibody. High-pressure and temperature Sodium Citrate pH 6.0 was used for antigen retrieval.
Quick Database Links
UniProt Details
−Documents Download
Request a Document
Protocol Information
Hsp27 Rabbit mAb (orb1564764)
Participating in our Biorbyt product reviews program enables you to support fellow scientists by sharing your firsthand experience with our products.
Login to Submit a Review













