You have no items in your shopping cart.
HSP60 Antibody / HSPD1
Description
Research Area
Images & Validation
−| Tested Applications | IF, IHC-P, WB |
|---|---|
| Dilution Range | Immunofluorescence: 1-2ug/ml,Western blot: 1-2ug/ml,Immunohistochemistry (FFPE): 1-2ug/ml for 30 min at RT |
| Reactivity | Human |
| Application Notes |
Key Properties
−| Antibody Type | Primary Antibody |
|---|---|
| Host | Mouse |
| Clonality | Monoclonal |
| Isotype | Mouse IgG1, kappa |
| Clone No. | HSPD1/780 |
| Immunogen | Recombinant human HSPD1 protein was used as the immunogen for the HSP60 antibody. |
| Purification | Protein G affinity chromatography |
| Conjugation | Unconjugated |
Storage & Handling
−| Storage | Maintain refrigerated at 2-8°C for up to 2 weeks. For long term storage store at -20°C in small aliquots to prevent freeze-thaw cycles. |
|---|---|
| Buffer/Preservatives | 0.2 mg/ml in 1X PBS with 0.1 mg/ml rAlbumin and 0.05% sodium azide |
| Expiration Date | 12 months from date of receipt. |
| Disclaimer | For research use only |
Similar Products
−HSP60 Antibody / HSPD1 [orb248380]
FACS, IF, IHC-P, WB
Human, Mouse, Rat
Mouse
Monoclonal
Unconjugated
100 μg, 20 μgHSP60 Antibody / HSPD1 [orb2637739]
FACS, IF, IHC-P, WB
Human, Mouse, Rat
Mouse
Monoclonal
Unconjugated
100 μg

Quality Guarantee
Explore bioreagents carefree to elevate your research. All our products are rigorously tested for performance. If a product does not perform as described on its datasheet, our scientific support team will provide expert troubleshooting, a prompt replacement, or a refund. For full details, please see our Terms & Conditions and Buying Guide. Contact us at [email protected].

IHC: Formalin-fixed, paraffin-embedded human renal cell carcinoma stained with HSP60 antibody (clone HSPD1/780).

IHC: Formalin-fixed, paraffin-embedded human lung carcinoma stained with HSP60 antibody (clone HSPD1/780).

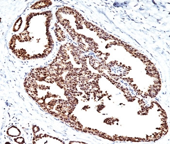
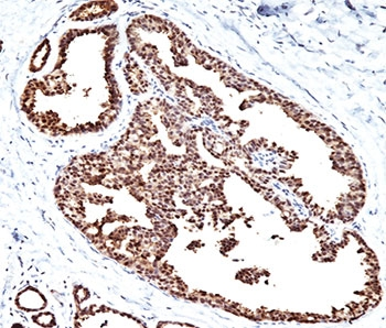
IHC: Formalin-fixed, paraffin-embedded human bladder carcinoma stained with HSP60 antibody (clone HSPD1/780).

IHC: Formalin-fixed, paraffin-embedded human pancreas stained with HSP60 antibody (clone HSPD1/780).

Immunofluorescent staining of MeOH-fixed human HeLa cells with HSP60 antibody (clone HSPD1/780, green) and Reddot nuclear stain (red).

Immunofluorescent staining of MeOH-fixed human MCF7 cells with HSP60 antibody (clone HSPD1/780, green) and Reddot nuclear stain (red).

Western blot testing of human HeLa lysate with HSP60 antibody (clone HSPD1/780). Predicted molecular weight: ~60 kDa.

Analysis of HuProt (TM) microarray containing more than 19, 000 full-length human proteins using HSP60 antibody (clone HSPD1/780). These results demonstrate the foremost specificity of the HSPD1/780 mAb. Z- and S- score: The Z-score represents the strength of a signal that an antibody (in combination with a fluorescently-tagged anti-IgG secondary Ab) produces when binding to a particular protein on the HuProt (TM) array. Z-scores are described in units of standard deviations (SD's) above the mean value of all signals generated on that array. If the targets on the HuProt (TM) are arranged in descending order of the Z-score, the S-score is the difference (also in units of SD's) between the Z-scores. The S-score therefore represents the relative target specificity of an Ab to its intended target.
Quick Database Links
UniProt Details
−Documents Download
Request a Document
Protocol Information
HSP60 Antibody / HSPD1 (orb749575)
Participating in our Biorbyt product reviews program enables you to support fellow scientists by sharing your firsthand experience with our products.
Login to Submit a Review




























