You have no items in your shopping cart.
HSPB1 Rabbit Polyclonal Antibody
Description
Research Area
Images & Validation
−| Tested Applications | IHC, WB |
|---|---|
| Reactivity | Human |
| Predicted Reactivity | Human |
Key Properties
−| Host | Rabbit |
|---|---|
| Clonality | Polyclonal |
| Immunogen | The immunogen is a synthetic peptide directed towards the C terminal region of human HSPB1 |
| Target | HSPB1 |
| Protein Sequence | Synthetic peptide located within the following region: SLSPEGTLTVEAPMPKLATQSNEITIPVTFESRAQLGGPEAAKSDETAAK |
| Molecular Weight | 23kDa |
| Purification | Protein A purified |
| Conjugation | Unconjugated |
Storage & Handling
−| Storage | Maintain refrigerated at 2-8°C for up to 2 weeks. For long term storage store at -20°C in small aliquots to prevent freeze-thaw cycles. |
|---|---|
| Buffer/Preservatives | Liquid. Purified antibody supplied in 1x PBS buffer with 0.09% (w/v) sodium azide and 2% sucrose. |
| Concentration | 1.0 mg/ml |
| Expiration Date | 12 months from date of receipt. |
| Disclaimer | For research use only |
Alternative Names
−Similar Products
−HSP27 Rabbit Polyclonal Antibody [orb10845]
FC, IF, IHC-Fr, IHC-P, WB
Bovine, Canine, Mouse, Porcine
Human, Rat
Rabbit
Polyclonal
Unconjugated
50 μl, 100 μl, 200 μlHsp27/HSPB1 Rabbit Polyclonal Antibody [orb215991]
FC, ICC, IF, IHC, IHC-Fr, IP, WB
Human
Rabbit
Polyclonal
Unconjugated
100 μgHSP27 Polyclonal Antibody [orb1413400]
IF, IHC-P, WB
Human, Mouse, Rat
Rabbit
Polyclonal
Unconjugated
100 μlHSP27 (phospho Ser82) rabbit pAb Antibody [orb764207]
ELISA, IF, IHC, WB
Human, Mouse, Rat
Polyclonal
Unconjugated
100 μl, 50 μlHSP27 rabbit pAb Antibody [orb768662]
ELISA, IF, IHC, WB
Human, Mouse, Rat
Polyclonal
Unconjugated
100 μl, 50 μl

Quality Guarantee
Explore bioreagents carefree to elevate your research. All our products are rigorously tested for performance. If a product does not perform as described on its datasheet, our scientific support team will provide expert troubleshooting, a prompt replacement, or a refund. For full details, please see our Terms & Conditions and Buying Guide. Contact us at [email protected].

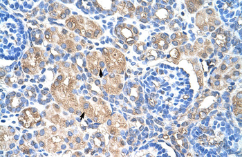
Human kidney

Rabbit Anti-HSPB1 Antibody, Catalog Number: orb573593, Formalin Fixed Paraffin Embedded Tissue: Human Heart Muscle Tissue, Observed Staining: Cytoplasm, Primary Antibody Concentration: 1:100, Other Working Concentrations: 1:600, Secondary Antibody: Donkey anti-Rabbit-Cy3, Secondary Antibody Concentration: 1:200, Magnification: 20X, Exposure Time: 0.5-2.0 sec.

WB Suggested Anti-HSPB1 Antibody Titration: 1.25 ug/ml, ELISA Titer: 1:62500, Positive Control: HepG2 cell lysate.
Documents Download
Request a Document
Protocol Information
HSPB1 Rabbit Polyclonal Antibody (orb573593)
Participating in our Biorbyt product reviews program enables you to support fellow scientists by sharing your firsthand experience with our products.
Login to Submit a Review




























