You have no items in your shopping cart.
IGF1R Antibody / Insulin like growth factor 1 receptor
Description
Images & Validation
−| Tested Applications | IHC-P |
|---|---|
| Dilution range | Immunohistochemistry (FFPE): 1-2ug/ml |
| Reactivity | Human |
| Application Notes |
Key Properties
−| Antibody Type | Primary Antibody |
|---|---|
| Host | Mouse |
| Clonality | Monoclonal |
| Isotype | Mouse IgG2c, kappa |
| Clone No. | IGF1R/4667 |
| Immunogen | A portion of amino acids 550-750 was used as the immunogen for the IGF1R antibody. |
| Purification | Protein A/G affinity |
| Conjugation | Unconjugated |
Storage & Handling
−| Storage | Maintain refrigerated at 2-8°C for up to 2 weeks. For long term storage store at -20°C in small aliquots to prevent freeze-thaw cycles. |
|---|---|
| Disclaimer | For research use only |
Similar Products
−IGF1R Antibody / Insulin like growth factor 1 receptor [orb1151824]
IHC-P
Human
Mouse
Monoclonal
Unconjugated
100 μg, 20 μg

Quality Guarantee
Explore bioreagents carefree to elevate your research. All our products are rigorously tested for performance. If a product does not perform as described on its datasheet, our scientific support team will provide expert troubleshooting, a prompt replacement, or a refund. For full details, please see our Terms & Conditions and Buying Guide. Contact us at [email protected].

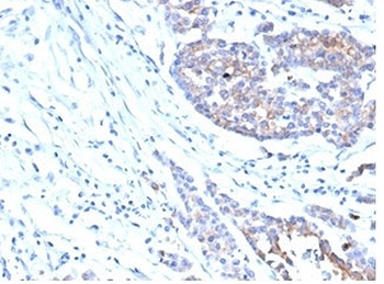
IHC staining of FFPE human prostate carcinoma tissue with IGF1R antibody (clone IGF1R/4667). HIER: boil tissue sections in pH9 10mM Tris with 1mM EDTA for 20 min and allow to cool before testing.

IHC staining of FFPE human breast carcinoma tissue with IGF1R antibody (clone IGF1R/4667). HIER: boil tissue sections in pH9 10mM Tris with 1mM EDTA for 20 min and allow to cool before testing.

IHC staining of FFPE human colon carcinoma tissue with IGF1R antibody (clone IGF1R/4667). HIER: boil tissue sections in pH9 10mM Tris with 1mM EDTA for 20 min and allow to cool before testing.

SDS-PAGE analysis of purified, BSA-free IGF1R antibody (clone IGF1R/4667) as confirmation of integrity and purity.

Analysis of HuProt (TM) microarray containing more than 19000 full-length human proteins using IGF1R antibody (clone IGF1R/4667). These results demonstrate the foremost specificity of the IGF1R/4667 mAb. Z- and S- score: The Z-score represents the strength of a signal that an antibody (in combination with a fluorescently-tagged anti-IgG secondary Ab) produces when binding to a particular protein on the HuProt (TM) array. Z-scores are described in units of standard deviations (SD's) above the mean value of all signals generated on that array. If the targets on the HuProt (TM) are arranged in descending order of the Z-score, the S-score is the difference (also in units of SD's) between the Z-scores. The S-score therefore represents the relative target specificity of an Ab to its intended target.
Quick Database Links
UniProt Details
−Documents Download
Request a Document
IGF1R Antibody / Insulin like growth factor 1 receptor (orb2637278)
Participating in our Biorbyt product reviews program enables you to support fellow scientists by sharing your firsthand experience with our products.
Login to Submit a Review



