You have no items in your shopping cart.
IGFBP4 Rabbit Polyclonal Antibody
Description
Research Area
Images & Validation
−| Tested Applications | IHC, WB |
|---|---|
| Reactivity | Human, Mouse |
| Predicted Reactivity | Bovine, Canine, Equine, Goat, Guinea pig, Rabbit, Rat, Sheep |
Key Properties
−| Host | Rabbit |
|---|---|
| Clonality | Polyclonal |
| Immunogen | The immunogen is a synthetic peptide directed towards the middle region of human IGFBP4 |
| Target | IGFBP4 |
| Protein Sequence | Synthetic peptide located within the following region: RALERLAASQSRTHEDLYIIPIPNCDRNGNFHPKQCHPALDGQRGKCWCV |
| Molecular Weight | 28kDa |
| Purification | Affinity Purified |
| Conjugation | Unconjugated |
Storage & Handling
−| Storage | Maintain refrigerated at 2-8°C for up to 2 weeks. For long term storage store at -20°C in small aliquots to prevent freeze-thaw cycles. |
|---|---|
| Buffer/Preservatives | Liquid. Purified antibody supplied in 1x PBS buffer with 0.09% (w/v) sodium azide and 2% sucrose. |
| Concentration | 0.5 mg/ml |
| Expiration Date | 12 months from date of receipt. |
| Disclaimer | For research use only |
Alternative Names
−Similar Products
−IGFBP4 Rabbit Polyclonal Antibody [orb378123]
IF, IHC, WB
Human, Mouse, Rat
Rabbit
Polyclonal
Unconjugated
50 μl, 100 μl, 200 μl, 30 μlIGFBP4 Rabbit Polyclonal Antibody [orb184405]
IF, IHC-Fr, IHC-P, WB
Bovine, Equine, Gallus, Human, Porcine, Sheep
Mouse, Rat
Rabbit
Polyclonal
Unconjugated
50 μl, 100 μl, 200 μlIGFBP4 Rabbit Polyclonal Antibody [orb627952]
ELISA, IHC, WB
Human, Mouse, Rat
Rabbit
Polyclonal
Unconjugated
100 μg, 50 μgIGFBP4 Rabbit Polyclonal Antibody [orb2951781]
ELISA, IHC, WB
Mouse
Rabbit
Polyclonal
Unconjugated
50 μg, 100 μgIGFBP4 Rabbit Polyclonal Antibody [orb2955355]
ELISA, IHC, WB
Bovine, Human, Mouse, Porcine, Rat, Sheep
Rabbit
Polyclonal
Unconjugated
50 μg, 100 μg

Quality Guarantee
Explore bioreagents carefree to elevate your research. All our products are rigorously tested for performance. If a product does not perform as described on its datasheet, our scientific support team will provide expert troubleshooting, a prompt replacement, or a refund. For full details, please see our Terms & Conditions and Buying Guide. Contact us at [email protected].

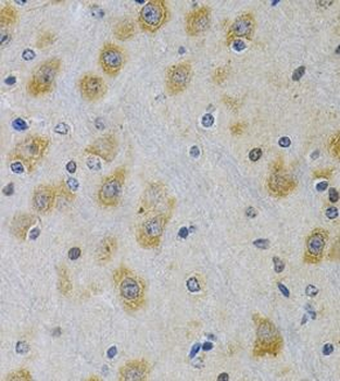
Sample Tissue: Mouse Brain, Antibody dilution: 1 ug/ml.

Sample Tissue: Human HT1080 Whole Cell, Antibody dilution: 1 ug/ml.

Sample Tissue: Human MDA-MB-435s Whole Cell, Antibody dilution: 1 ug/ml.

Immunohistochemistry with Human Prostate lysate tissue at an antibody concentration of 5.0 ug/ml using anti-IGFBP4 antibody (orb579539).

WB Suggested Anti-IGFBP4 Antibody Titration: 1 ug/ml, Positive Control: Fetal Brain Lysate.
Documents Download
Request a Document
Protocol Information
IGFBP4 Rabbit Polyclonal Antibody (orb579539)
Participating in our Biorbyt product reviews program enables you to support fellow scientists by sharing your firsthand experience with our products.
Login to Submit a Review







