You have no items in your shopping cart.
IL1F10 Antibody
Description
Research Area
Images & Validation
−| Tested Applications | ELISA, IHC |
|---|---|
| Dilution Range | IHC-P:1:20-1:200 |
| Reactivity | Human |
Key Properties
−| Host | Rabbit |
|---|---|
| Clonality | Polyclonal |
| Isotype | IgG |
| Immunogen | Recombinant Human Interleukin-1 family member 10 protein (1-152AA) |
| Target | IL1F10 |
| Purification | >95%, Protein G purified |
| Conjugation | Unconjugated |
Storage & Handling
−| Storage | Maintain refrigerated at 2-8°C for up to 2 weeks. For long term storage store at -20°C in small aliquots to prevent freeze-thaw cycles. |
|---|---|
| Form/Appearance | Liquid |
| Buffer/Preservatives | Preservative: 0.03% Proclin 300. Constituents: 50% Glycerol |
| Expiration Date | 12 months from date of receipt. |
| Disclaimer | For research use only |
Alternative Names
−Similar Products
−NDUFA4 Rabbit Polyclonal Antibody [orb1743901]
ELISA, FC, ICC, IF, IHC, WB
Human, Mouse, Rat
Rabbit
Polyclonal
Unconjugated
100 μgBDH1 Rabbit Polyclonal Antibody [orb669064]
ELISA, FC, WB
Human, Rat
Rabbit
Polyclonal
Unconjugated
100 μgIL1F10 Rabbit Polyclonal Antibody [orb402582]
ELISA, IHC, WB
Human
Rabbit
Polyclonal
Unconjugated
100 μgIL1F10 Antibody [orb1239675]
ELISA, IHC-P, WB
Mouse, Rat
Human
Rabbit
Polyclonal
Unconjugated
0.1 mg, 0.02 mg

Quality Guarantee
Explore bioreagents carefree to elevate your research. All our products are rigorously tested for performance. If a product does not perform as described on its datasheet, our scientific support team will provide expert troubleshooting, a prompt replacement, or a refund. For full details, please see our Terms & Conditions and Buying Guide. Contact us at [email protected].

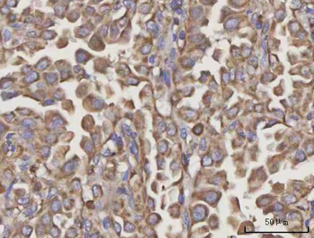
Immunohistochemistry of paraffin-embedded human skin tissue using IL1F10 antibody

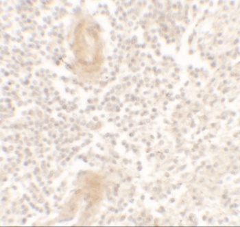
Immunohistochemistry of paraffin-embedded human tonsil tissue using IL1F10 antibody
Quick Database Links
UniProt Details
−Documents Download
Request a Document
Protocol Information
IL1F10 Antibody (orb351745)
Participating in our Biorbyt product reviews program enables you to support fellow scientists by sharing your firsthand experience with our products.
Login to Submit a Review
















