You have no items in your shopping cart.
IL1RN Antibody
Description
Research Area
Images & Validation
−| Tested Applications | ELISA, IHC, WB |
|---|---|
| Dilution range | WB: 1:200-1:2000; IHC: 1:50-1:500 |
| Reactivity | Human |
Key Properties
−| Antibody Type | Primary Antibody |
|---|---|
| Host | Rabbit |
| Clonality | Polyclonal |
| Isotype | IgG |
| Immunogen | interleukin 1 receptor antagonist |
| Target | IL1RN |
| Molecular Weight | 20KD |
| Purity | ≥95% as determined by SDS-PAGE |
| Purification | Immunogen affinity purified |
| Conjugation | Unconjugated |
Storage & Handling
−| Storage | Maintain refrigerated at 2-8°C for up to 2 weeks. For long term storage store at -20°C in small aliquots to prevent freeze-thaw cycles. |
|---|---|
| Form/Appearance | liquid |
| Disclaimer | For research use only |
Alternative Names
−Similar Products
−IL-1RA Rabbit Polyclonal Antibody [orb6227]
IF, IHC-Fr, IHC-P
Bovine, Canine, Mouse, Porcine, Rat, Sheep
Human
Rabbit
Polyclonal
Unconjugated
100 μl, 200 μl, 50 μlIL1RN Antibody [orb2309957]
IHC
Human
Mouse
Monoclonal
Unconjugated
100 μg (without BSA and Azide), 100 μg, 20 μgIL1RN Antibody (C-term) [orb1930039]
FC, IF, WB
Human, Mouse
Rabbit
Polyclonal
Unconjugated
100 μl, 50 μlIL1RN Antibody (Center) [orb1930040]
FC, IF, IHC-P, WB
Human
Rabbit
Polyclonal
Unconjugated
100 μl, 50 μl

Quality Guarantee
Explore bioreagents carefree to elevate your research. All our products are rigorously tested for performance. If a product does not perform as described on its datasheet, our scientific support team will provide expert troubleshooting, a prompt replacement, or a refund. For full details, please see our Terms & Conditions and Buying Guide. Contact us at [email protected].

Transfected HEK-293 cells were subjected to SDS PAGE followed by western blot with orb628008 (IL1RN Antibody) at dilution of 1:500.

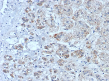
Immunohistochemistry of paraffin-embedded human colon cancer tissue slide using orb628008 (IL1RN Antibody) at dilution of 1:200.
Quick Database Links
UniProt Details
−Documents Download
Request a Document
Protocol Information
IL1RN Antibody (orb628008)
Participating in our Biorbyt product reviews program enables you to support fellow scientists by sharing your firsthand experience with our products.
Login to Submit a Review


















