You have no items in your shopping cart.
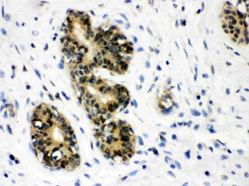
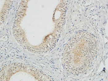
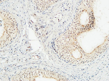
JAB1 Antibody
Description
Images & Validation
−| Tested Applications | IF, IHC, WB |
|---|---|
| Dilution Range | WB 1:2000, IHC 1:150, IF 1:100 |
| Reactivity | Human, Mouse, Rat |
| Application Notes |
Key Properties
−| Antibody Type | Primary Antibody |
|---|---|
| Host | Mouse |
| Clonality | Monoclonal |
| Isotype | IgG1 |
| Clone No. | OTI2B12 |
| Immunogen | Full length human recombinant protein of human COPS5(NP_006828) produced in HEK293T cell. |
| Target | JAB1 |
| Molecular Weight | 37.4 kDa |
| Conjugation | Unconjugated |
Storage & Handling
−| Storage | Maintain refrigerated at 2-8°C for up to 2 weeks. For long term storage store at -20°C in small aliquots to prevent freeze-thaw cycles. |
|---|---|
| Expiration Date | 12 months from date of receipt. |
| Disclaimer | For research use only |
Similar Products
−JAB1 Mouse Monoclonal Antibody [orb763099]
FC, ICC, IF, IHC, WB
Human, Mouse, Rat
Mouse
Monoclonal
Unconjugated
100 μgJAB1/COPS5 Rabbit Polyclonal Antibody [orb308785]
FC, ICC, IF, IHC, IHC-Fr, IP, WB
Human, Mouse, Rat
Rabbit
Polyclonal
Unconjugated
100 μgCSN3 rabbit pAb Antibody [orb764934]
ELISA, IF, IHC, WB
Human, Mouse, Rat
Polyclonal
Unconjugated
100 μl, 50 μlTRIP15 rabbit pAb Antibody [orb770894]
ELISA, IF, IHC, WB
Human, Monkey, Mouse, Rat
Polyclonal
Unconjugated
100 μl, 50 μl

Quality Guarantee
Explore bioreagents carefree to elevate your research. All our products are rigorously tested for performance. If a product does not perform as described on its datasheet, our scientific support team will provide expert troubleshooting, a prompt replacement, or a refund. For full details, please see our Terms & Conditions and Buying Guide. Contact us at [email protected].

Western blot analysis of HEK293T cells were transfected with the pCMV6-ENTRY control (Left lane) or pCMV6-ENTRY COPS5 (Right lane) cDNA for 48 hrs and lysed using JAB1 (COPS5) antibody
Documents Download
Request a Document
Protocol Information
JAB1 Antibody (orb1335178)
Participating in our Biorbyt product reviews program enables you to support fellow scientists by sharing your firsthand experience with our products.
Login to Submit a Review


























