You have no items in your shopping cart.
LC3 Antibody
Description
Images & Validation
−| Tested Applications | ELISA, IF, IHC, IP, WB |
|---|---|
| Dilution range | WB: 1:500-1:2000; IP: 1:500-1:2000 ; IHC: 1:20-1:200; IF: 1:20-1:200 |
| Reactivity | Human, Mouse, Rat |
Key Properties
−| Antibody Type | Primary Antibody |
|---|---|
| Host | Rabbit |
| Clonality | Polyclonal |
| Isotype | IgG |
| Immunogen | microtubule-associated protein 1 light chain 3 beta |
| Target | LC3 |
| Molecular Weight | 16 kDa |
| Purity | ≥95% as determined by SDS-PAGE |
| Purification | Immunogen affinity purified |
| Conjugation | Unconjugated |
Storage & Handling
−| Storage | Maintain refrigerated at 2-8°C for up to 2 weeks. For long term storage store at -20°C in small aliquots to prevent freeze-thaw cycles. |
|---|---|
| Form/Appearance | liquid |
| Disclaimer | For research use only |
Alternative Names
−Similar Products
−LC3 antibody [orb33328]
ICC, IF, IHC-P, WB
Bovine
Human, Mouse, Rat
Rabbit
Polyclonal
Unconjugated
100 μgLC3A Mouse Monoclonal Antibody [orb499565]
IF, IHC-Fr, IHC-P, WB
Mouse, Rat
Human, Mouse, Rat
Mouse
Monoclonal
Unconjugated
200 μl, 100 μl, 50 μl, 200 μgMAP1LC3B Antibody [orb1274430]
IF, IHC, WB
Human, Mouse, Porcine, Rat
Rabbit
Polyclonal
Unconjugated
100 μlLC3B Rabbit Polyclonal Antibody [orb6295]
IF, IHC-Fr, IHC-P
Bovine, Canine, Equine, Gallus, Human, Porcine, Zebrafish
Mouse, Rabbit, Rat
Rabbit
Polyclonal
Unconjugated
100 μl, 200 μl, 50 μl

Quality Guarantee
Explore bioreagents carefree to elevate your research. All our products are rigorously tested for performance. If a product does not perform as described on its datasheet, our scientific support team will provide expert troubleshooting, a prompt replacement, or a refund. For full details, please see our Terms & Conditions and Buying Guide. Contact us at [email protected].

Chloroquine treated HeLa cells were subjected to SDS PAGE followed by western blot with orb628393 (LC3 Antibody) at dilution of 1:1000.

IP Result of anti-LC3 (IP: orb628393, 3 ug; Detection: orb628393 1:1000) with mouse brain tissue lysate 4000 ug.

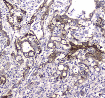
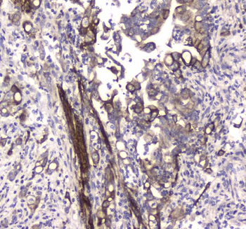
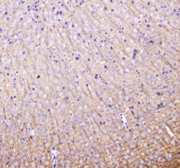
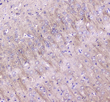
Immunohistochemistry of paraffin-embedded human gliomas using orb628393 (LC3 antibody) at dilution of 1:50.
Quick Database Links
UniProt Details
−Documents Download
Request a Document
Protocol Information
LC3 Antibody (orb628393)
Participating in our Biorbyt product reviews program enables you to support fellow scientists by sharing your firsthand experience with our products.
Login to Submit a Review













































