You have no items in your shopping cart.
Description
Research Area
Images & Validation
−| Tested Applications | FC, IF, IHC-Fr, IHC-P, WB |
|---|---|
| Dilution Range | WB=1:500-2000, IHC-P=1:100-500, IHC-F=1:100-500, IF=1:100-500, Flow-Cyt=3ug/Test |
| Reactivity | Human, Mouse |
| Predicted Reactivity | Bovine, Canine, Equine, Rat |
Related Conjugates & Formulations
−Key Properties
−| Antibody Type | Primary Antibody |
|---|---|
| Host | Rabbit |
| Clonality | Polyclonal |
| Isotype | IgG |
| Immunogen | KLH conjugated synthetic peptide derived from human Legumain (201-300/433aa) |
| Target | LGMN |
| Molecular Weight | 46 kDa |
| Purification | Affinity purified by Protein A |
| Conjugation | Unconjugated |
Storage & Handling
−| Storage | Maintain refrigerated at 2-8°C for up to 2 weeks. For long term storage store at -20°C in small aliquots to prevent freeze-thaw cycles. |
|---|---|
| Form/Appearance | Liquid |
| Buffer/Preservatives | 0.01M TBS (pH7.4) with 1% rAlbumin, 0.02% Proclin300 and 50% Glycerol. |
| Concentration | 1mg/ml |
| Expiration Date | 12 months from date of receipt. |
| Disclaimer | For research use only |
Alternative Names
−Similar Products
−Legumain Rabbit Polyclonal Antibody [orb667157]
IF, WB
Human, Mouse, Rat
Rabbit
Polyclonal
Unconjugated
50 μl, 100 μl, 200 μl, 30 μlLegumain Rabbit Polyclonal Antibody (BF488) [orb1582710]
FC, IF
Bovine, Canine, Equine, Rat
Human, Mouse
Rabbit
Polyclonal
BF488
100 μl

Quality Guarantee
Explore bioreagents carefree to elevate your research. All our products are rigorously tested for performance. If a product does not perform as described on its datasheet, our scientific support team will provide expert troubleshooting, a prompt replacement, or a refund. For full details, please see our Terms & Conditions and Buying Guide. Contact us at [email protected].

Blank control: HL60. Primary Antibody (green line): Rabbit Anti-Legumain antibody (orb5765), dilution: 3 µg/10^6 cells, Isotype Control Antibody (orange line): Rabbit IgG. Secondary Antibody: Goat anti-rabbit IgG-PE, dilution: 1 µg/Test. Protocol, The cells were fixed with 4% PFA (10 min at room temperature) and then permeabilized with PBST for 20 min at room temperature. The cells were then incubated in 5% BSA to block non-specific protein-protein interactions for 30 min at at room temperature. Cells stained with Primary Antibody for 30 min at room temperature. The secondary antibody used for 40 min at room temperature. Acquisition of 20000 events was performed.

Overlay histogram showing Mouse spleen cells (red line). The cells were fixed with 1% paraformaldehyde (10 min). The cells were then incubated with the antibody (2 ug/1x106 cells) for 30 min at 22-25°C. Isotype control antibody (black line) was rabbit IgG (2 ug/1x106 cells) used under the same conditions. Acquisition of events were used for analysis.

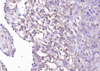
Paraformaldehyde-fixed, paraffin embedded (mouse placenta), Antigen retrieval by boiling in sodium citrate buffer (pH6.0) for 15 min, Block endogenous peroxidase by 3% hydrogen peroxide for 20 minutes, Blocking buffer (normal goat serum) at 37°C for 30 min, Antibody incubation with (Legumain) Polyclonal Antibody, Unconjugated (orb5765) at 1:200 overnight at 4°C, followed by operating according to SP Kit (Rabbit) instructionsand DAB staining.

Sample: Kidney (Mouse) Lysate at 40 ug, Primary: Anti-Legumain (orb5765) at 1/300 dilution, Secondary: IRDye800CW Goat Anti-Rabbit IgG at 1/20000 dilution, Predicted band size: 46 kD, Observed band size: 55 kD.

Sample: Lane 1: Human JAR cell lysates, Lane 2: Human MCF-7 cell lysates, Primary: Anti-Legumain (orb5765) at 1/1000 dilution, Secondary: IRDye800CW Goat Anti-Rabbit IgG at 1/20000 dilution, Predicted band size: 46 kDa, Observed band size: 55 kDa.

Sample: Placenta (Mouse) Lysate at 40 ug, Primary: Anti-Legumain (orb5765) at 1/300 dilution, Secondary: IRDye800CW Goat Anti-Rabbit IgG at 1/20000 dilution, Predicted band size: 46 kD, Observed band size: 55 kD.
Quick Database Links
UniProt Details
−Documents Download
Request a Document
Protocol Information
Legumain Rabbit Polyclonal Antibody (orb5765)
Participating in our Biorbyt product reviews program enables you to support fellow scientists by sharing your firsthand experience with our products.
Login to Submit a Review




