You have no items in your shopping cart.
LRP2 Antibody
Description
Research Area
Images & Validation
−| Tested Applications | ELISA, IF, IHC |
|---|---|
| Dilution range | IHC-P:1:500-1000, IF:1:200-500 |
| Reactivity | Human |
Key Properties
−| Host | Rabbit |
|---|---|
| Clonality | Polyclonal |
| Isotype | IgG |
| Immunogen | Recombinant Human Low-density lipoprotein receptor-related protein 2 protein (202-332AA) |
| Target | LRP2 |
| Purification | >95%, Protein G purified |
| Conjugation | Unconjugated |
Storage & Handling
−| Storage | Maintain refrigerated at 2-8°C for up to 2 weeks. For long term storage store at -20°C in small aliquots to prevent freeze-thaw cycles. |
|---|---|
| Form/Appearance | Liquid |
| Buffer/Preservatives | Preservative: 0.03% Proclin 300. Constituents: 50% Glycerol |
| Disclaimer | For research use only |
Alternative Names
−Similar Products
−LRP2 Recombinant Rabbit Monoclonal Antibody [orb2563479]
ICC, IF, IHC-Fr, IHC-P, WB
Human, Rat
Human, Mouse, Rat
Rabbit
Recombinant
Unconjugated
25 μl, 200 μg, 50 μl, 100 μl, 200 μlLRP2 Rabbit Polyclonal Antibody [orb6173]
IF, IHC-Fr, IHC-P
Mouse, Rat
Human, Mouse, Rat
Rabbit
Polyclonal
Unconjugated
200 μl, 50 μl, 100 μlLRP2/Megalin Antibody [orb1536655]
IHC, IHC-P, WB
Human, Mouse, Rat
Rabbit
Polyclonal
Unconjugated
50 μl

Quality Guarantee
Explore bioreagents carefree to elevate your research. All our products are rigorously tested for performance. If a product does not perform as described on its datasheet, our scientific support team will provide expert troubleshooting, a prompt replacement, or a refund. For full details, please see our Terms & Conditions and Buying Guide. Contact us at [email protected].

Immunohistochemistry of paraffin-embedded human breast cancer tissue using LRP2 antibody

Immunofluorescence staining of MCF-7 cells using LRP2 antibody

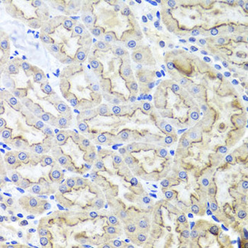
Immunohistochemistry of paraffin-embedded human kidney tissue using LRP2 antibody
Quick Database Links
UniProt Details
−Documents Download
Request a Document
Protocol Information
LRP2 Antibody (orb415477)
Participating in our Biorbyt product reviews program enables you to support fellow scientists by sharing your firsthand experience with our products.
Login to Submit a Review














