You have no items in your shopping cart.
LTA4H Antibody
Description
Research Area
Images & Validation
−| Tested Applications | ELISA, IHC, WB |
|---|---|
| Dilution range | ELISA:1:1000-1:2000, WB:1:200-1:1000, IHC-P:1:25-1:100 |
| Reactivity | Human, Mouse, Rat |
Key Properties
−| Host | Rabbit |
|---|---|
| Clonality | Polyclonal |
| Isotype | IgG |
| Immunogen | Fusion protein of Human LTA4H |
| Target | LTA4H |
| Purification | Antigen Affinity Purified |
| Conjugation | Unconjugated |
Storage & Handling
−| Storage | Maintain refrigerated at 2-8°C for up to 2 weeks. For long term storage store at -20°C in small aliquots to prevent freeze-thaw cycles. |
|---|---|
| Form/Appearance | Liquid |
| Buffer/Preservatives | -20°C, pH7.4 PBS, 0.05% NaN3, 40% Glycerol |
| Disclaimer | For research use only |
Alternative Names
−Similar Products
−LTA4H Antibody [orb1819494]
ELISA, FC, IF, IHC, WB
Human, Mouse, Rat
Rabbit
Polyclonal
Unconjugated
100 μgMouse Leukotriene A4 Hydrolase (LTA4H) ELISA Kit [orb780307]
Mouse
0.16-10 ng/mL
0.061 ng/mL
96 T, 48 THuman Leukotriene A4 Hydrolase (LTA4H) ELISA Kit [orb777200]
Human
0.32-20 ng/mL
0.127 ng/mL
96 T, 48 TLTA4H Antibody [orb628532]
ELISA, IHC, WB
Human, Mouse, Rat
Rabbit
Polyclonal
Unconjugated
100 μg, 50 μg

Quality Guarantee
Explore bioreagents carefree to elevate your research. All our products are rigorously tested for performance. If a product does not perform as described on its datasheet, our scientific support team will provide expert troubleshooting, a prompt replacement, or a refund. For full details, please see our Terms & Conditions and Buying Guide. Contact us at [email protected].

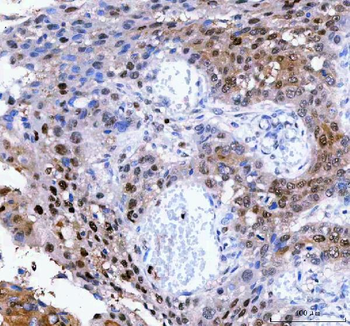
Immunohistochemistry of paraffin-embedded Human esophagus cancer tissue using LTA4H antibody

Western blot aanalysis of Human fetal brain tissueusing LTA4H antibody
Quick Database Links
UniProt Details
−Documents Download
Request a Document
Protocol Information
LTA4H Antibody (orb521137)
Participating in our Biorbyt product reviews program enables you to support fellow scientists by sharing your firsthand experience with our products.
Login to Submit a Review












