You have no items in your shopping cart.
MAF Antibody
Description
Research Area
Images & Validation
−| Tested Applications | ELISA, IF, IHC, IP, WB |
|---|---|
| Dilution range | WB: 1:200-1:2000; IP: 1:200-1:2000; IHC: 1:20-1:200; IF: 1:50-1:500 |
| Reactivity | Human, Mouse, Rat |
Key Properties
−| Antibody Type | Primary Antibody |
|---|---|
| Host | Rabbit |
| Clonality | Polyclonal |
| Isotype | IgG |
| Immunogen | v-maf musculoaponeurotic fibrosarcoma oncogene homolog(avian) |
| Target | MAF |
| Molecular Weight | 50 kDa |
| Purity | ≥95% as determined by SDS-PAGE |
| Purification | Immunogen affinity purified |
| Conjugation | Unconjugated |
Storage & Handling
−| Storage | Maintain refrigerated at 2-8°C for up to 2 weeks. For long term storage store at -20°C in small aliquots to prevent freeze-thaw cycles. |
|---|---|
| Form/Appearance | liquid |
| Disclaimer | For research use only |
Alternative Names
−Similar Products
−IFN gamma Rabbit Polyclonal Antibody [orb501002]
FC, ICC, WB
Mouse, Rat
Human
Rabbit
Polyclonal
Unconjugated
100 μl, 50 μlRabbit anti-MafA Recombinant Monoclonal Antibody [orb1519835]
ICC, IHC, WB
Human, Mouse
Rabbit
Recombinant
Unconjugated
100 μlC-Maf Rabbit Polyclonal Antibody [orb499589]
IF, IHC-Fr, IHC-P
Mouse, Rat
Human, Mouse, Rat
Rabbit
Polyclonal
Unconjugated
100 μl, 200 μl, 50 μl

Quality Guarantee
Explore bioreagents carefree to elevate your research. All our products are rigorously tested for performance. If a product does not perform as described on its datasheet, our scientific support team will provide expert troubleshooting, a prompt replacement, or a refund. For full details, please see our Terms & Conditions and Buying Guide. Contact us at [email protected].

A431 cells were subjected to SDS PAGE followed by western blot with orb628575 (MAF antibody) at dilution of 1:500.

Immunofluorescent analysis of A431 cells using orb628575 (MAF antibody) at dilution of 1:50.

IP Result of MAF antibody (IP: orb628575, 4 μg; Detection: orb628575 1:500) with A431 cell lysate 2000 μg.

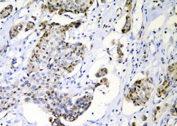
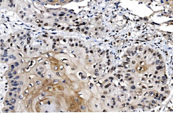
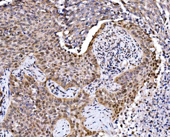
Immunohistochemistry of paraffin-embedded human kidney tissue slide using orb628575 (MAF Antibody) at dilution of 1:50.
Quick Database Links
UniProt Details
−Documents Download
Request a Document
Protocol Information
MAF Antibody (orb628575)
Participating in our Biorbyt product reviews program enables you to support fellow scientists by sharing your firsthand experience with our products.
Login to Submit a Review

































