You have no items in your shopping cart.
MAP2K1/MAP2K2 Antibody
Description
Research Area
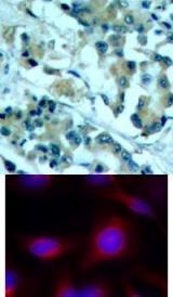
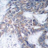
Images & Validation
−| Tested Applications | ELISA, IHC, WB |
|---|---|
| Dilution Range | WB: 1:500-1:2000, IHC-P: 1:100-1:300, ELISA: 1:20000 |
| Reactivity | Human, Mouse, Rat |
Key Properties
−| Host | Rabbit |
|---|---|
| Clonality | Polyclonal |
| Isotype | IgG |
| Immunogen | Synthesized peptide derived from Human MEK-1/2 around the non-phosphorylation site of S222/226. |
| Target | MAP2K1/MAP2K2 |
| Purification | The antibody was affinity-purified from rabbit antiserum by affinity-chromatography using epitope-specific immunogen. |
| Conjugation | Unconjugated |
Storage & Handling
−| Storage | Maintain refrigerated at 2-8°C for up to 2 weeks. For long term storage store at -20°C in small aliquots to prevent freeze-thaw cycles. |
|---|---|
| Form/Appearance | Liquid |
| Buffer/Preservatives | Liquid in PBS containing 50% glycerol, 0.5% rAlbumin and 0.02% sodium azide. |
| Expiration Date | 12 months from date of receipt. |
| Disclaimer | For research use only |
Alternative Names
−Similar Products
−Phospho-MEK1/2 (Ser221) (D3) rabbit mAb Antibody [orb1946141]
FC, WB
Human, Mouse
Rabbit
Monoclonal
Unconjugated
200 μl, 20 μlPhospho-MEK1/2 (Ser217/221) (H2) rabbit mAb Antibody [orb1946115]
FC, WB
Human
Rabbit
Monoclonal
Unconjugated
200 μl, 20 μlMAP2K1/MAP2K2 Antibody [orb671177]
ELISA, WB
Human, Monkey, Mouse, Rat
Rabbit
Polyclonal
Unconjugated
50 μg, 100 μg

Quality Guarantee
Explore bioreagents carefree to elevate your research. All our products are rigorously tested for performance. If a product does not perform as described on its datasheet, our scientific support team will provide expert troubleshooting, a prompt replacement, or a refund. For full details, please see our Terms & Conditions and Buying Guide. Contact us at [email protected].

Western blot analysis of HepG2 PC12 HELA cells using MAP2K1 antibody

Western blot analysis of HT29 cells using MAP2K1 antibody
Documents Download
Request a Document
Protocol Information
MAP2K1/MAP2K2 Antibody (orb675698)
Participating in our Biorbyt product reviews program enables you to support fellow scientists by sharing your firsthand experience with our products.
Login to Submit a Review













