You have no items in your shopping cart.
MCM4 Antibody
Description
Research Area
Images & Validation
−| Tested Applications | ELISA, IF, IHC, WB |
|---|---|
| Dilution Range | WB:1:500-5000, IHC-P:1:20-200, IF:1:50-200 |
| Reactivity | Human, Rat |
Key Properties
−| Host | Rabbit |
|---|---|
| Clonality | Polyclonal |
| Isotype | IgG |
| Immunogen | Recombinant Human DNA replication licensing factor MCM4 protein (2-141AA) |
| Target | MCM4 |
| Purification | >95%, Protein G purified |
| Conjugation | Unconjugated |
Storage & Handling
−| Storage | Maintain refrigerated at 2-8°C for up to 2 weeks. For long term storage store at -20°C in small aliquots to prevent freeze-thaw cycles. |
|---|---|
| Form/Appearance | Liquid |
| Buffer/Preservatives | Preservative: 0.03% Proclin 300. Constituents: 50% Glycerol |
| Expiration Date | 12 months from date of receipt. |
| Disclaimer | For research use only |
Alternative Names
−Similar Products
−MCM4 Rabbit Polyclonal Antibody [orb738454]
ELISA, FC, ICC, IF, IHC, WB
Human, Mouse, Rat
Rabbit
Polyclonal
Unconjugated
100 μgMCM4 rabbit pAb Antibody [orb769083]
ELISA, IF, IHC, WB
Human, Mouse
Polyclonal
Unconjugated
50 μl, 100 μlMCM4 (phospho Ser54) rabbit pAb Antibody [orb769082]
ELISA, IF, IHC, WB
Human, Monkey, Mouse
Polyclonal
Unconjugated
50 μl, 100 μl

Quality Guarantee
Explore bioreagents carefree to elevate your research. All our products are rigorously tested for performance. If a product does not perform as described on its datasheet, our scientific support team will provide expert troubleshooting, a prompt replacement, or a refund. For full details, please see our Terms & Conditions and Buying Guide. Contact us at [email protected].

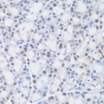
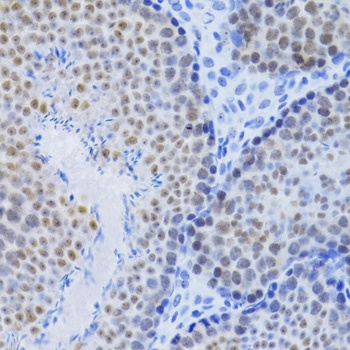
Immunohistochemistry of paraffin-embedded human testis tissue using MCM4 antibody

Western blot aanalysis of Hela whole cell lysate, 293 whole cell lysate, Rat heart tissueusing MCM4 antibody

Immunofluorescence staining of A549 cells using MCM4 antibody
Quick Database Links
UniProt Details
−Documents Download
Request a Document
Protocol Information
MCM4 Antibody (orb415601)
Participating in our Biorbyt product reviews program enables you to support fellow scientists by sharing your firsthand experience with our products.
Login to Submit a Review


















