You have no items in your shopping cart.
MET/HGFR Antibody
Description
Research Area
Images & Validation
−| Tested Applications | IF, IHC-P, WB |
|---|---|
| Dilution Range | IF - 1:100, IHC-P - 1:100-500 |
| Reactivity | Human, Mouse, Rat |
Key Properties
−| Host | Mouse |
|---|---|
| Clonality | Monoclonal |
| Isotype | Mouse IgG1 |
| Molecular Weight | 155541 Da |
| Conjugation | Unconjugated |
Storage & Handling
−| Storage | Maintain refrigerated at 2-8°C for up to 2 weeks. For long term storage store at -20°C in small aliquots to prevent freeze-thaw cycles |
|---|---|
| Form/Appearance | Purified monoclonal antibody supplied in PBS with 0.09% (W/V) sodium azide. This antibody is purified through a protein G column, followed by dialysis against PBS. |
| Expiration Date | 12 months from date of receipt. |
| Disclaimer | For research use only |
Similar Products
−Bi-Phospho-MET/HGFR(Y1234/Y1235) Antibody [orb1927589]
WB
Human
Mouse
Monoclonal
Unconjugated
100 μl, 50 μlPhospho-MET (Tyr1234/1235) (6F11) rabbit mAb Antibody [orb1946193]
FC
Human, Mouse
Rabbit
Monoclonal
Unconjugated
200 μl, 20 μl

Quality Guarantee
Explore bioreagents carefree to elevate your research. All our products are rigorously tested for performance. If a product does not perform as described on its datasheet, our scientific support team will provide expert troubleshooting, a prompt replacement, or a refund. For full details, please see our Terms & Conditions and Buying Guide. Contact us at [email protected].

All lanes: Anti-MET/HGFR Antibody at dilution. Lane 1: HeLa whole cell lysate. Lane 2: HepG2 whole cell lysate. Lane 3: COS-7 whole cell lysate.Lysates/proteins at 20 µg per lane. Secondary Goat Anti-mouse IgG, (H+L), Peroxidase conjugated at 1/10000 dilution. Predicted band size: 156 kDa. Blocking/Dilution buffer: 5% NFDM/TBST.

Fluorescent confocal image of HepG2 cells stained with MET/HGFR Antibody. HepG2 cells were fixed with 4% PFA (20 min), permeabilized with Triton X-100 (0.2%, 30 min). Cells were then incubated with MET/HGFR primary antibody (1:100, 2 h at room temperature). For secondary antibody, Alexa Fluor 488 conjugated donkey anti-mouse antibody (green) was used (1:1000, 1h). Nuclei were counterstained with Hoechst 33342 (blue) (10 μg/ml, 5 min).

Formalin-fixed and paraffin-embedded human colon carcinoma tissue reacted with MET/HGFR Antibody, which was peroxidase-conjugated to the secondary antibody, followed by DAB staining. This data demonstrates the use of this antibody for immunohistochemistry; clinical relevance has not been evaluated.

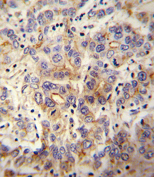
Immunohistochemical analysis of paraffin-embedded H.liver section using MET/HGFR Antibody. diluted at 1:25 dilution. A peroxidase-conjugated goat anti-mouse IgG at 1:400 dilution was used as the secondary antibody, followed by DAB staining.
Quick Database Links
UniProt Details
−Documents Download
Request a Document
Protocol Information
MET/HGFR Antibody (orb1939458)
Participating in our Biorbyt product reviews program enables you to support fellow scientists by sharing your firsthand experience with our products.
Login to Submit a Review












