You have no items in your shopping cart.
MMP14 Rabbit Polyclonal Antibody
Description
Images & Validation
−| Tested Applications | IF, IHC, WB |
|---|---|
| Dilution Range | Western Blot 1:500, Immunofluorescence 1:150-1:300, Immunohistochemistry (Paraffin) 1:100-1:200 |
| Reactivity | Human, Mouse, Rat |
Key Properties
−| Antibody Type | Primary Antibody |
|---|---|
| Host | Rabbit |
| Clonality | Polyclonal |
| Isotype | Rabbit-IgG |
| Immunogen | Synthetic peptide / Extracellular domain corresponding to Human MMP14 / MT1-MMP |
| Target | MMP14 / MT1-MMP |
| Conjugation | Unconjugated |
Storage & Handling
−| Storage | Maintain refrigerated at 2-8°C for up to 2 weeks. For long term storage store at -20°C in small aliquots to prevent freeze-thaw cycles. |
|---|---|
| Buffer/Preservatives | 100mM Tris Glycine, 20% Glycerol (pH7). 0.025% ProClin 300 was added as a preservative |
| Expiration Date | 12 months from date of receipt. |
| Disclaimer | For research use only |
Similar Products
−Matrix metalloproteinase-14 MMP14/14 Rabbit Polyclonal Antibody [orb107165]
IHC, WB
Human, Mouse, Rat
Rabbit
Polyclonal
Unconjugated
100 μgCleaved-MMP-14 (Y112) rabbit pAb Antibody [orb763919]
ELISA, WB
Human, Mouse, Rat
Polyclonal
Unconjugated
100 μl, 50 μlMMP-14 rabbit pAb Antibody [orb769138]
ELISA, IF, IHC, WB
Human, Mouse, Rat
Polyclonal
Unconjugated
100 μl, 50 μl

Quality Guarantee
Explore bioreagents carefree to elevate your research. All our products are rigorously tested for performance. If a product does not perform as described on its datasheet, our scientific support team will provide expert troubleshooting, a prompt replacement, or a refund. For full details, please see our Terms & Conditions and Buying Guide. Contact us at [email protected].

All lanes: Anti-MMP14 / MT1-MMP antibody - Loading Control at 1/500 dilution, Lysates/proteins at 30 µg per lane. This blot was produced using a 7.5% SDS-PAGE. The gel was run at 140V for 50 minutes before being transferred onto a Nitrocellulose membrane at 18V for 60 minutes. The membrane was then blocked with 3% BSA for an hour before being incubated with orb1294372 overnight at 4°C.

All lanes: Anti-MMP14 / MT1-MMP antibody - Loading Control at 1/500 dilution, Lysates/proteins at 30 µg per lane. This blot was produced using a 7.5% SDS-PAGE. The gel was run at 140V for 50 minutes before being transferred onto a Nitrocellulose membrane at 18V for 60 minutes. The membrane was then blocked with 3% BSA for an hour before being incubated with orb1294372 overnight at 4°C.

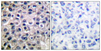
Immunohistochemical analysis of paraffin embedded Human cancer tissue labeling MMP14 / MT1-MMP with orb1294372 at 1/100.

Immunohistochemical analysis of paraffin embedded Human cancer tissue labeling MMP14 / MT1-MMP with orb1294372 at 1/100.

Immunofluorescence: cells were fixed with 4% paraformaldehyde for 10 min at RT, permeabilized with 0.1% NP-40 for 10 min at RT then blocked with 5% BSA for 30 min at room temperature. Cells were stained with orb1294372 anti-MMP14 / MT1-MMP antibody (red) at 1:150 and 4°C. DAPI (blue) was used as the nuclear counter stain.

Immunofluorescence: cells were fixed with 4% paraformaldehyde for 10 min at RT, permeabilized with 0.1% NP-40 for 10 min at RT then blocked with 5% BSA for 30 min at room temperature. Cells were stained with orb1294372 anti-MMP14 / MT1-MMP antibody (red) at 1:150 and 4°C. DAPI (blue) was used as the nuclear counter stain.

Immunohistochemical analysis of paraffin embedded Human breast cancer tissue labeling MMP14 / MT1-MMP with orb1294372 at 1/100.
Quick Database Links
Documents Download
Request a Document
Protocol Information
MMP14 Rabbit Polyclonal Antibody (orb1294372)
Participating in our Biorbyt product reviews program enables you to support fellow scientists by sharing your firsthand experience with our products.
Login to Submit a Review








