You have no items in your shopping cart.
Recombinant MSH2 Antibody
Description
Research Area
Images & Validation
−| Tested Applications | IHC-P, WB |
|---|---|
| Dilution Range | Western blot: 1-2ug/ml,Immunohistochemistry (FFPE): 1-2ug/ml |
| Reactivity | Canine, Feline, Human |
| Application Notes |
Key Properties
−| Antibody Type | Primary Antibody |
|---|---|
| Host | Mouse |
| Clonality | Recombinant |
| Isotype | Mouse IgG2a, kappa |
| Clone No. | rMSH2/6548 |
| Immunogen | Recombinant full-length human MSH2 protein was used as the immunogen for the recombinant MSH2 antibody. |
| Purification | Protein A/G affinity |
| Conjugation | Unconjugated |
Storage & Handling
−| Storage | Maintain refrigerated at 2-8°C for up to 2 weeks. For long term storage store at -20°C in small aliquots to prevent freeze-thaw cycles. |
|---|---|
| Buffer/Preservatives | 0.2 mg/ml in 1X PBS with 0.1 mg/ml rAlbumin, 0.05% sodium azide |
| Expiration Date | 12 months from date of receipt. |
| Disclaimer | For research use only |
Similar Products
−Recombinant MSH2 Antibody [orb2636732]
IHC-P, WB
Canine, Feline, Human
Mouse
Recombinant
Unconjugated
100 μgRabbit MSH2 Recombinant Monoclonal Antibody [orb1519706]
ICC, IHC, IP, WB
Human
Rabbit
Recombinant
Unconjugated
100 μl, 10 μlMSH2 Recombinant Rabbit Monoclonal Antibody [orb1152003]
FC, ICC, IF, IHC-Fr, IHC-P, WB
Human
Rabbit
Recombinant
Unconjugated
25 μl, 100 μl, 50 μlRecombinant PMS2 Antibody / PMS1 homolog 2 [orb699794]
IHC-P
Human
Rabbit
Recombinant
Unconjugated
100 μg, 20 μgMSH2 Mouse Monoclonal Antibody [orb1473895]
IHC, WB
Human
Mouse
Monoclonal
Unconjugated
200 μl, 100 μl, 50 μl, 30 μl

Quality Guarantee
Explore bioreagents carefree to elevate your research. All our products are rigorously tested for performance. If a product does not perform as described on its datasheet, our scientific support team will provide expert troubleshooting, a prompt replacement, or a refund. For full details, please see our Terms & Conditions and Buying Guide. Contact us at [email protected].

IHC staining of FFPE human colon tissue with recombinant MSH2 antibody (clone rMSH2/6548). HIER: boil tissue sections in pH9 10mM Tris with 1mM EDTA for 20 min and allow to cool before testing.

IHC staining of FFPE human colon tissue with recombinant MSH2 antibody (clone rMSH2/6548). HIER: boil tissue sections in pH9 10mM Tris with 1mM EDTA for 20 min and allow to cool before testing.

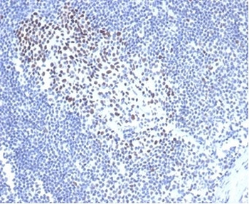
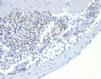
IHC staining of FFPE cat lymph node tissue with recombinant MSH2 antibody (clone rMSH2/6548). HIER: boil tissue sections in pH9 10mM Tris with 1mM EDTA for 20 min and allow to cool before testing.

IHC staining of FFPE dog lymph node tissue with recombinant MSH2 antibody (clone rMSH2/6548). HIER: boil tissue sections in pH9 10mM Tris with 1mM EDTA for 20 min and allow to cool before testing.

Western blot testing of human HCT-116 cell lysate using recombinant MSH2 antibody (clone rMSH2/6548). Expected molecular weight ~105 kDa.

SDS-PAGE analysis of purified, BSA-free recombinant MSH2 antibody (clone rMSH2/6548) as confirmation of integrity and purity.
Quick Database Links
UniProt Details
−Documents Download
Request a Document
Protocol Information
Recombinant MSH2 Antibody (orb1151551)
Participating in our Biorbyt product reviews program enables you to support fellow scientists by sharing your firsthand experience with our products.
Login to Submit a Review
















