You have no items in your shopping cart.
MUC5AC Antibody
Description
Images & Validation
−| Tested Applications | IHC-P |
|---|---|
| Dilution range | Immunohistochemistry (FFPE): 1-2ug/ml |
| Reactivity | Human |
| Application Notes |
Key Properties
−| Antibody Type | Primary Antibody |
|---|---|
| Host | Rabbit |
| Clonality | Recombinant |
| Isotype | Rabbit IgG, kappa |
| Clone No. | MUC5AC/7798R |
| Immunogen | Recombinant full-length human MUC5AC protein was used as the immunogen for the MUC5AC antibody. |
| Purification | Protein A/G affinity |
| Conjugation | Unconjugated |
Storage & Handling
−| Storage | Maintain refrigerated at 2-8°C for up to 2 weeks. For long term storage store at -20°C in small aliquots to prevent freeze-thaw cycles. |
|---|---|
| Disclaimer | For research use only |
Similar Products
−MUC5AC Rabbit Polyclonal Antibody [orb157913]
IF, IHC-Fr, IHC-P
Canine, Equine
Human, Mouse, Rat
Rabbit
Polyclonal
Unconjugated
200 μl, 50 μl, 100 μl

Quality Guarantee
Explore bioreagents carefree to elevate your research. All our products are rigorously tested for performance. If a product does not perform as described on its datasheet, our scientific support team will provide expert troubleshooting, a prompt replacement, or a refund. For full details, please see our Terms & Conditions and Buying Guide. Contact us at [email protected].

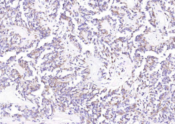
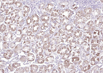
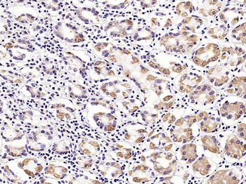
IHC staining of FFPE human stomach tissue with MUC5AC antibody (clone MUC5AC/7798R). Inset: PBS used in place of primary Ab (secondary Ab negative control). HIER: boil tissue sections in pH9 10 mM Tris with 1 mM EDTA for 20 min and allow to cool before testing.

SDS-PAGE analysis of purified, BSA-free MUC5AC antibody (clone MUC5AC/7798R) as confirmation of integrity and purity.
Quick Database Links
UniProt Details
−Documents Download
Request a Document
MUC5AC Antibody (orb1826087)
Participating in our Biorbyt product reviews program enables you to support fellow scientists by sharing your firsthand experience with our products.
Login to Submit a Review























