You have no items in your shopping cart.
NHP2 Antibody
SKU: orb37361
Description
Research Area
Epigenetics & Chromatin
Images & Validation
−Item 1 of 2
| Tested Applications | ELISA, IF, IHC |
|---|---|
| Dilution range | IHC-P:1:20-200, IF:1:50-200 |
| Reactivity | Human |
Key Properties
−| Host | Rabbit |
|---|---|
| Clonality | Polyclonal |
| Isotype | IgG |
| Immunogen | Recombinant Human H/ACA ribonucleoprotein complex subunit 2 protein (1-153AA) |
| Target | NHP2 |
| Purification | >95%, Protein G purified |
| Conjugation | Unconjugated |
Storage & Handling
−| Storage | Maintain refrigerated at 2-8°C for up to 2 weeks. For long term storage store at -20°C in small aliquots to prevent freeze-thaw cycles. |
|---|---|
| Form/Appearance | Liquid |
| Buffer/Preservatives | Preservative: 0.03% Proclin 300. Constituents: 50% Glycerol |
| Disclaimer | For research use only |
Alternative Names
−DKCB2 antibody; FLJ20479 antibody; H/ACA ribonucleoprotein complex subunit 2 antibody; NHP2 antibody; NHP2 like protein antibody; NHP2 ribonucleoprotein antibody; NHP2 ribonucleoprotein homolog (yeast) 1 antibody; NHP2 ribonucleoprotein homolog antibody; NHP2; S. cerevisiae; homolog of antibody; NHP2_HUMAN antibody; NHP2P antibody; NOLA2 antibody; Nucleolar protein family A member 2 (H/ACA small nucleolar RNPs) antibody; Nucleolar protein family A member 2 antibody; snoRNP protein NHP2 antibody
Similar Products
−NHP2 Antibody [orb629294]
ELISA, IF, IHC, IP, WB
Human, Mouse, Rat
Rabbit
Polyclonal
Unconjugated
100 μg, 50 μg

Quality Guarantee
Explore bioreagents carefree to elevate your research. All our products are rigorously tested for performance. If a product does not perform as described on its datasheet, our scientific support team will provide expert troubleshooting, a prompt replacement, or a refund. For full details, please see our Terms & Conditions and Buying Guide. Contact us at [email protected].

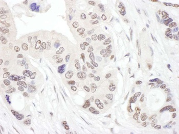
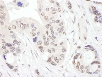
Immunohistochemical staining of human melanoma cancer using NHP2 antibody

Immunofluorescence analysis of HepG2 cells using NHP2 antibody
Quick Database Links
Gene Symbol
NHP2
UniProt
UniProt Details
− No UniProt data available
Documents Download
Datasheet
Product Information
Request a Document
Protocol Information
IHC
Immunohistochemistry
IF
Immunofluorescence
ELISA
Enzyme-linked Immunosorbent Assay (EIA)
NHP2 Antibody (orb37361)
Based on 0 reviews
Participating in our Biorbyt product reviews program enables you to support fellow scientists by sharing your firsthand experience with our products.
Login to Submit a Review














