You have no items in your shopping cart.
NHP2-like protein 1 antibody
Description
Images & Validation
−| Tested Applications | IF, IHC, WB |
|---|---|
| Reactivity | Human |
Key Properties
−| Antibody Type | Primary Antibody |
|---|---|
| Host | Rabbit |
| Clonality | Polyclonal |
| Conjugation | Unconjugated |
Storage & Handling
−| Storage | Maintain refrigerated at 2-8°C for up to 2 weeks. For long term storage store at -20°C in small aliquots to prevent freeze-thaw cycles. |
|---|---|
| Disclaimer | For research use only |
Similar Products
−NHP2 Rabbit Polyclonal Antibody [orb221735]
IF, IHC-Fr, IHC-P
Bovine, Canine, Equine, Mouse, Rabbit, Rat
Human
Rabbit
Polyclonal
Unconjugated
100 μl, 200 μl, 50 μlNHP2L1 Antibody [orb667449]
WB
Human, Mouse, Rat
Rabbit
Polyclonal
Unconjugated
30 μl, 50 μl, 100 μl, 200 μl

Quality Guarantee
Explore bioreagents carefree to elevate your research. All our products are rigorously tested for performance. If a product does not perform as described on its datasheet, our scientific support team will provide expert troubleshooting, a prompt replacement, or a refund. For full details, please see our Terms & Conditions and Buying Guide. Contact us at [email protected].

Western blot analysis of whole cell lysate using NHP2 like protein 1 antibody

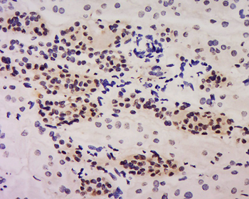
Immunohistochemical analysis of formalin-fixed and paraffin-embedded Cal27 xenograft using NHP2 like protein 1 antibody

Confocal immunofluorescence analysis of paraformaldehyde-fixed HeLa using NHP2 like protein 1 antibody
Quick Database Links
UniProt Details
−Documents Download
Request a Document
Protocol Information
NHP2-like protein 1 antibody (orb69682)
Participating in our Biorbyt product reviews program enables you to support fellow scientists by sharing your firsthand experience with our products.
Login to Submit a Review








