You have no items in your shopping cart.
NKX3A Antibody
Description
Images & Validation
−| Tested Applications | FC, IHC, WB |
|---|---|
| Dilution Range | WB: 1/500 - 1/2000; IHC: 1/200 - 1/1000; FCM: 1/200 - 1/400; ELISA: 1/10000 |
| Reactivity | Human |
Key Properties
−| Antibody Type | Primary Antibody |
|---|---|
| Host | Mouse |
| Clonality | Monoclonal |
| Isotype | Mouse IgG2b |
| Clone No. | 4H4C3 |
| Immunogen | Purified recombinant fragment of human NKX3A expressed in E. Coli. |
| Target | NKX3A |
| Molecular Weight | 26.3kDa |
| Conjugation | Unconjugated |
Storage & Handling
−| Storage | Maintain refrigerated at 2-8°C for up to 2 weeks. For long term storage store at -20°C in small aliquots to prevent freeze-thaw cycles. |
|---|---|
| Buffer/Preservatives | Purified antibody in PBS with 0.05% sodium azide. |
| Concentration | Approximately 1mg/ml (varies from batch to batch). Please inquire for precise concentration. |
| Expiration Date | 12 months from date of receipt. |
| Disclaimer | For research use only |
Alternative Names
−Similar Products
−Human NK3 Homeobox Protein 1 (NKX3-1) ELISA Kit [orb779248]
Human
0.16-10 ng/mL
0.054 ng/mL
96 T, 48 TNkx-3.1 rabbit pAb Antibody [orb765843]
ELISA, IF, IHC, WB
Human, Mouse, Rat
Polyclonal
Unconjugated
50 μl, 100 μl

Quality Guarantee
Explore bioreagents carefree to elevate your research. All our products are rigorously tested for performance. If a product does not perform as described on its datasheet, our scientific support team will provide expert troubleshooting, a prompt replacement, or a refund. For full details, please see our Terms & Conditions and Buying Guide. Contact us at [email protected].

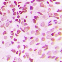
Immunohistochemical analysis of paraffin-embedded human Liver tissues using NKX3A antibody

Immunohistochemical analysis of paraffin-embedded human prostata tissues (A, B) using NKX3A antibody

Flow cytometric analysis of PC-3 cells negative control (purpl

Documents Download
Request a Document
Protocol Information
NKX3A Antibody (orb69248)
Participating in our Biorbyt product reviews program enables you to support fellow scientists by sharing your firsthand experience with our products.
Login to Submit a Review





