You have no items in your shopping cart.
NUP85 Antibody
Description
Research Area
Images & Validation
−| Tested Applications | ELISA, IF, IHC, WB |
|---|---|
| Dilution range | WB:1:2000-5000, IHC-P:1:20-200, IF:1:50-200 |
| Reactivity | Human, Mouse |
Key Properties
−| Host | Rabbit |
|---|---|
| Clonality | Polyclonal |
| Isotype | IgG |
| Immunogen | Recombinant Human Nuclear pore complex protein Nup85 protein (201-500AA) |
| Target | NUP85 |
| Purification | >95%, Protein G purified |
| Conjugation | Unconjugated |
Storage & Handling
−| Storage | Maintain refrigerated at 2-8°C for up to 2 weeks. For long term storage store at -20°C in small aliquots to prevent freeze-thaw cycles. |
|---|---|
| Form/Appearance | Liquid |
| Buffer/Preservatives | Preservative: 0.03% Proclin 300. Constituents: 50% Glycerol |
| Disclaimer | For research use only |
Alternative Names
−Similar Products
−
Quality Guarantee
Explore bioreagents carefree to elevate your research. All our products are rigorously tested for performance. If a product does not perform as described on its datasheet, our scientific support team will provide expert troubleshooting, a prompt replacement, or a refund. For full details, please see our Terms & Conditions and Buying Guide. Contact us at [email protected].

Western blot analysis of HEK293(lane 1), NIH/3T3(lane 2) whole cell lysate, Mouse brain(lane 3), Mouse lung(lane 4), Mouse kidney(lane 5) tissue using NUP85 antibody

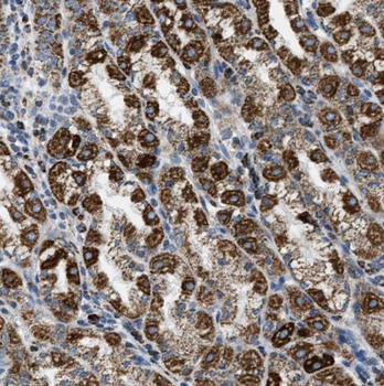
Immunohistochemical staining of human colon cancer using NUP85 antibody

Immunofluorescence analysis of MCF-7 cells using NUP85 antibody

Immunohistochemical staining of human pancreic tissue using NUP85 antibody
Quick Database Links
UniProt Details
−Documents Download
Request a Document
Protocol Information
NUP85 Antibody (orb37404)
Participating in our Biorbyt product reviews program enables you to support fellow scientists by sharing your firsthand experience with our products.
Login to Submit a Review







