You have no items in your shopping cart.
OLIG2 Antibody
Description
Images & Validation
−| Tested Applications | ELISA, IF, IHC, IP, WB |
|---|---|
| Dilution range | WB: 1:500 - 1:1000; IHC: 1:500 - 1:1500; IP : 1:500 - 1:1000 |
| Reactivity | Human, Mouse, Rat |
Key Properties
−| Antibody Type | Primary Antibody |
|---|---|
| Host | Rabbit |
| Clonality | Polyclonal |
| Isotype | IgG |
| Immunogen | oligodendrocyte lineage transcription factor 2 |
| Target | OLIG2 |
| Molecular Weight | 32 kDa |
| Purity | ≥95% as determined by SDS-PAGE |
| Purification | Immunogen affinity purified |
| Conjugation | Unconjugated |
Storage & Handling
−| Storage | Maintain refrigerated at 2-8°C for up to 2 weeks. For long term storage store at -20°C in small aliquots to prevent freeze-thaw cycles. |
|---|---|
| Form/Appearance | liquid |
| Disclaimer | For research use only |
Alternative Names
−Similar Products
−Recombinant OLIG2 (Marker of Glial Brain Tumors) Antibody [orb1410413]
IHC
Human
Rabbit
Monoclonal
Unconjugated
100 μg (without BSA and Azide), 100 μg, 20 μgHuman Oligodendrocyte Lineage Transcription Factor 2 (OLIG2) ELISA Kit [orb1146965]
Human
15.63-1000 pg/mL
5.5 pg/mL
96 T, 48 TOLIG2 Rabbit Polyclonal Antibody [orb574365]
IHC, WB
Canine, Equine, Guinea pig, Mouse, Rat
Human
Rabbit
Polyclonal
Unconjugated
100 μlOLIG2 Antibody [orb1239677]
ELISA, IF, IHC-P, WB
Gallus
Human, Mouse, Rat
Rabbit
Polyclonal
Unconjugated
0.1 mg, 0.02 mg

Quality Guarantee
Explore bioreagents carefree to elevate your research. All our products are rigorously tested for performance. If a product does not perform as described on its datasheet, our scientific support team will provide expert troubleshooting, a prompt replacement, or a refund. For full details, please see our Terms & Conditions and Buying Guide. Contact us at [email protected].

human brain tissue were subjected to SDS PAGE followed by western blot with orb629526 (OLIG2 antibody) at dilution of 1:600.

Immunofluorescent analysis of Neuro-2a cells using orb629526 (OLIG2 antibody) at dilution of 1:600 and Alexa Fluor 488-conjugated Goat Anti-Rabbit IgG (H+L).

IP Result of anti-OLIG2 (IP: orb629526, 3 ug; Detection: orb629526 1:500) with mouse brain tissue lysate 4000 ug.

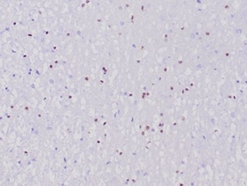
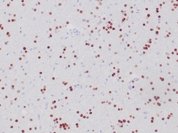
Immunohistochemistry of paraffin-embedded mouse brain tissue using orb629526 (OLIG2 antibody) at dilution of 1:800.
Quick Database Links
UniProt Details
−Documents Download
Request a Document
Protocol Information
OLIG2 Antibody (orb629526)
Participating in our Biorbyt product reviews program enables you to support fellow scientists by sharing your firsthand experience with our products.
Login to Submit a Review


















