You have no items in your shopping cart.
PARP1 Rabbit Polyclonal Antibody
Description
Research Area
Images & Validation
−| Tested Applications | ELISA, ICC, WB |
|---|---|
| Dilution Range | WB=1:500-2000, ICC/IF=1:50-200, ELISA=1:5000-10000 |
| Reactivity | Human, Mouse, Rat |
| Predicted Reactivity | Mouse, Rat |
Key Properties
−| Antibody Type | Primary Antibody |
|---|---|
| Host | Rabbit |
| Clonality | Polyclonal |
| Isotype | IgG |
| Immunogen | Recombinant human PARP1 (81-390/1014aa) |
| Target | PARP1 |
| Molecular Weight | 113 kDa |
| Purification | Affinity purified by Protein A |
| Conjugation | Unconjugated |
Storage & Handling
−| Storage | Maintain refrigerated at 2-8°C for up to 2 weeks. For long term storage store at -20°C in small aliquots to prevent freeze-thaw cycles. |
|---|---|
| Form/Appearance | Liquid |
| Buffer/Preservatives | 0.01M TBS (pH7.4) with 1% rAlbumin, 0.02% Proclin300 and 50% Glycerol. |
| Concentration | 1mg/ml |
| Expiration Date | 12 months from date of receipt. |
| Disclaimer | For research use only |
Alternative Names
−Similar Products
−PARP/PARP1 Rabbit Polyclonal Antibody [orb234355]
FC, ICC, IF, IHC, WB
Human, Mouse, Rat
Rabbit
Polyclonal
Unconjugated
100 μgCleaved-PARP-1 (D214) Polyclonal Antibody [orb1416092]
IF, IHC-P, WB
Human, Mouse
Rabbit
Polyclonal
Unconjugated
100 μlPARP1 Rabbit Polyclonal Antibody [orb13638]
FC, WB
Bovine, Canine, Rat
Human
Rabbit
Polyclonal
Unconjugated
50 μl, 100 μl, 200 μlPARP1 Rabbit Polyclonal Antibody [orb500736]
FC, IF, IHC-Fr, IHC-P, WB
Bovine, Gallus, Mouse, Porcine, Rabbit, Rat, Sheep
Human
Rabbit
Polyclonal
Unconjugated
50 μl, 100 μl, 200 μlPARP1 Rabbit Polyclonal Antibody [orb499737]
FC, IF, IHC-Fr, IHC-P, WB
Bovine, Porcine, Rabbit, Sheep
Human, Mouse, Rat
Rabbit
Polyclonal
Unconjugated
100 μl, 200 μl, 50 μl

Quality Guarantee
Explore bioreagents carefree to elevate your research. All our products are rigorously tested for performance. If a product does not perform as described on its datasheet, our scientific support team will provide expert troubleshooting, a prompt replacement, or a refund. For full details, please see our Terms & Conditions and Buying Guide. Contact us at [email protected].

C6 cell, 4% Paraformaldehyde-fixed, Triton X-100 at room temperature for 20 min, Blocking buffer (normal goat serum) at 37°C for 20 min, Antibody incubation with (KO Validated) PARP polyclonal Antibody, Unconjugated (orb704256) 1:100, 90 minutes at 37°C, followed by a conjugated Goat Anti-Rabbit IgG antibody at 37°C for 90 minutes, DAPI (blue) was used to stain the cell nuclei.

NIH/3T3 cell, 4% Paraformaldehyde-fixed, Triton X-100 at room temperature for 20 min, Blocking buffer (normal goat serum) at 37°C for 20 min, Antibody incubation with (KO Validated) PARP polyclonal Antibody, Unconjugated (orb704256) 1:100, 90 minutes at 37°C, followed by a conjugated Goat Anti-Rabbit IgG antibody at 37°C for 90 minutes, DAPI (blue) was used to stain the cell nuclei.

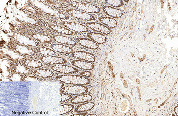
Paraformaldehyde-fixed, paraffin embedded (human colon carcinoma), Antigen retrieval by boiling in sodium citrate buffer (pH6.0) for 15 min, Block endogenous peroxidase by 3% hydrogen peroxide for 20 minutes, Blocking buffer (normal goat serum) at 37°C for 30 min, Antibody incubation with (PARP) Polyclonal Antibody, Unconjugated (orb704256) at 1:200 overnight at 4°C, followed by operating according to SP Kit (Rabbit) instructionsand DAB staining.

Sample: Lane 1: 293T (Human) Cell Lysate at 30 ug, Lane 2: U251 (Human) Cell Lysate at 30 ug, Primary: Anti-PARP (orb704256) at 1/1000 dilution, Secondary: IRDye800CW Goat Anti-Rabbit IgG at 1/20000 dilution, Predicted band size: 110 kD, Observed band size: 110 kD.

Sample: Lane 1: Hela (Human) Cell Lysate at 25 ug, Lane 2: PARP1 knockout (KO) Hela (Human) Cell Lysate at 25 ug, Primary: Anti-PARP1 (orb704256) at 1/1000 dilution, Secondary: HRP Goat Anti-Rabbit IgG (H+L) at 1:10000 dilution, Predicted band size: 110 kD, Observed band size: 110 kD.

U2-OS cell, 4% Paraformaldehyde-fixed, Triton X-100 at room temperature for 20 min, Blocking buffer (normal goat serum) at 37°C for 20 min, Antibody incubation with (KO Validated) PARP polyclonal Antibody, Unconjugated (orb704256) 1:100, 90 minutes at 37°C, followed by a conjugated Goat Anti-Rabbit IgG antibody at 37°C for 90 minutes, DAPI (blue) was used to stain the cell nuclei.

U2-OS cell, 4% Paraformaldehyde-fixed, Triton X-100 at room temperature for 20 min, Blocking buffer (normal goat serum) at 37°C for 20 min, Antibody incubation with (KO Validated) PARP polyclonal Antibody, Unconjugated (orb704256) 1:200, 90 minutes at 37°C, followed by a conjugated Goat Anti-Rabbit IgG antibody at 37°C for 90 minutes, DAPI (blue) was used to stain the cell nuclei.
Quick Database Links
UniProt Details
−Documents Download
Request a Document
Protocol Information
PARP1 Rabbit Polyclonal Antibody (orb704256)
Participating in our Biorbyt product reviews program enables you to support fellow scientists by sharing your firsthand experience with our products.
Login to Submit a Review
























