You have no items in your shopping cart.
PDCD6 Antibody
Description
Images & Validation
−| Tested Applications | ELISA, IF, IHC |
|---|---|
| Dilution range | IHC-P:1:200-1:500, IF:1:50-1:200 |
| Reactivity | Human |
Key Properties
−| Host | Rabbit |
|---|---|
| Clonality | Polyclonal |
| Isotype | IgG |
| Immunogen | Recombinant Human Programmed cell death protein 6 protein (1-191AA) |
| Target | PDCD6 |
| Purification | >95%, Protein G purified |
| Conjugation | Unconjugated |
Storage & Handling
−| Storage | Maintain refrigerated at 2-8°C for up to 2 weeks. For long term storage store at -20°C in small aliquots to prevent freeze-thaw cycles. |
|---|---|
| Form/Appearance | Liquid |
| Buffer/Preservatives | Preservative: 0.03% Proclin 300. Constituents: 50% Glycerol |
| Disclaimer | For research use only |
Alternative Names
−Similar Products
−ALIX/PDCD6IP Antibody (monoclonal, 14D10) [orb614091]
FC, ICC, IF, IHC, WB
Human, Mouse, Rat
Mouse
Monoclonal
Unconjugated
100 μgALIX/PDCD6IP Antibody [orb334502]
FC, ICC, IF, IHC, WB
Human, Mouse, Rat
Rabbit
Polyclonal
Unconjugated
100 μgHuman Programmed Cell Death Protein 6 Interacting Protein (PDCD6IP) ELISA Kit [orb777729]
Human
0.32-20 ng/mL
0.115 ng/mL
96 T, 48 THuman Programmed Cell Death Protein 6 (PDCD6) ELISA Kit [orb780392]
Human
0.32-20 ng/mL
0.121 ng/mL
48 T, 96 T

Quality Guarantee
Explore bioreagents carefree to elevate your research. All our products are rigorously tested for performance. If a product does not perform as described on its datasheet, our scientific support team will provide expert troubleshooting, a prompt replacement, or a refund. For full details, please see our Terms & Conditions and Buying Guide. Contact us at [email protected].

Western blot analysis of EC109(Lane 1), 293T(Lane 2) whole cell lysate using Programmed cell death protein 6 antibody

Immunofluorescence analysis of PC-3 cells using Programmed cell death protein 6 antibody

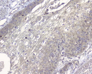
Immunohistochemical staining of human lung cancer using Programmed cell death protein 6 antibody

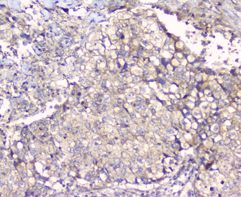
Immunohistochemical staining of human liver cancer using Programmed cell death protein 6 antibody
Quick Database Links
UniProt Details
−Documents Download
Request a Document
Protocol Information
PDCD6 Antibody (orb238258)
Participating in our Biorbyt product reviews program enables you to support fellow scientists by sharing your firsthand experience with our products.
Login to Submit a Review



















