You have no items in your shopping cart.
PDGFD Antibody
Description
Research Area
Images & Validation
−| Tested Applications | ELISA, IHC |
|---|---|
| Dilution Range | IHC-P:1:20-1:200 |
| Reactivity | Human |
Key Properties
−| Host | Rabbit |
|---|---|
| Clonality | Polyclonal |
| Isotype | IgG |
| Immunogen | Recombinant Human Platelet-derived growth factor D protein (191-370AA) |
| Target | PDGFD |
| Purification | Antigen Affinity Purified |
| Conjugation | Unconjugated |
Storage & Handling
−| Storage | Maintain refrigerated at 2-8°C for up to 2 weeks. For long term storage store at -20°C in small aliquots to prevent freeze-thaw cycles. |
|---|---|
| Form/Appearance | Liquid |
| Buffer/Preservatives | PBS with 0.02% sodium azide, 50% glycerol, pH7.3. |
| Expiration Date | 12 months from date of receipt. |
| Disclaimer | For research use only |
Alternative Names
−Similar Products
−Human Platelet Derived Growth Factor D (PDGFD) ELISA Kit [orb776839]
Human
12.5-800 pg/mL
4.9 pg/mL
96 T, 48 TRat Platelet Derived Growth Factor D (PDGFD) ELISA Kit [orb780958]
Rat
0.32-20 ng/mL
0.125 ng/mL
96 T, 48 TPDGF-D rabbit pAb Antibody [orb766904]
ELISA, IF, IHC, WB
Human, Mouse, Rat
Polyclonal
Unconjugated
100 μl, 50 μlSCDGFB Antibody (Center) [orb1930147]
IHC-P, WB
Mouse, Rabbit
Human
Rabbit
Polyclonal
Unconjugated
400 μlMouse Platelet Derived Growth Factor D (PDGFD) ELISA Kit [orb1950145]
Mouse
15.63-1000 pg/mL
5.13 pg/mL
48 T, 96 T

Quality Guarantee
Explore bioreagents carefree to elevate your research. All our products are rigorously tested for performance. If a product does not perform as described on its datasheet, our scientific support team will provide expert troubleshooting, a prompt replacement, or a refund. For full details, please see our Terms & Conditions and Buying Guide. Contact us at [email protected].

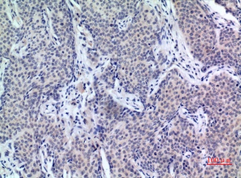
Immunohistochemistry of paraffin-embedded human pancreatic tissue using PDGFD antibody

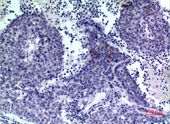
Immunohistochemistry of paraffin-embedded human adrenal gland tissue using PDGFD antibody
Quick Database Links
UniProt Details
−Documents Download
Request a Document
Protocol Information
PDGFD Antibody (orb352585)
Participating in our Biorbyt product reviews program enables you to support fellow scientists by sharing your firsthand experience with our products.
Login to Submit a Review









