You have no items in your shopping cart.
PDIA3 Antibody
Description
Research Area
Images & Validation
−| Tested Applications | ELISA, FC, IF, IHC, IP, WB |
|---|---|
| Dilution range | WB: 1:500-1:2400; IP: 1:1000-1:4000; IHC: 1:20-1:200; IF: 1:20-1:200 |
| Reactivity | Human, Mouse, Rat |
Key Properties
−| Antibody Type | Primary Antibody |
|---|---|
| Host | Rabbit |
| Clonality | Polyclonal |
| Isotype | IgG |
| Immunogen | protein disulfide isomerase family A, member 3 |
| Target | PDIA3 |
| Molecular Weight | 57 kDa |
| Purity | ≥95% as determined by SDS-PAGE |
| Purification | Immunogen affinity purified |
| Conjugation | Unconjugated |
Storage & Handling
−| Storage | Maintain refrigerated at 2-8°C for up to 2 weeks. For long term storage store at -20°C in small aliquots to prevent freeze-thaw cycles. |
|---|---|
| Form/Appearance | liquid |
| Disclaimer | For research use only |
Alternative Names
−Similar Products
−PDIA3 Rabbit Polyclonal Antibody [orb585694]
IHC, IP, WB
Bovine, Canine, Equine, Goat, Guinea pig, Mouse, Rabbit, Rat, Sheep, Zebrafish
Human
Rabbit
Polyclonal
Unconjugated
100 μlPDIA3 Antibody (Center) [orb1931335]
FC, IHC-P, WB
Bovine
Human
Rabbit
Polyclonal
Unconjugated
100 μl, 50 μlPDIA3 Antibody (C-term) [orb1931336]
FC, IHC-P, WB
Human, Mouse, Rat
Rabbit
Polyclonal
Unconjugated
100 μl, 50 μlERp57 rabbit pAb Antibody [orb766825]
ELISA, IF, IHC, WB
Human, Mouse, Rat
Polyclonal
Unconjugated
100 μlERp57/PDIA3 Antibody [orb334504]
FC, ICC, IF, IHC, IHC-Fr, WB
Human, Mouse, Rat
Rabbit
Polyclonal
Unconjugated
100 μg

Quality Guarantee
Explore bioreagents carefree to elevate your research. All our products are rigorously tested for performance. If a product does not perform as described on its datasheet, our scientific support team will provide expert troubleshooting, a prompt replacement, or a refund. For full details, please see our Terms & Conditions and Buying Guide. Contact us at [email protected].

Immunofluorescent analysis of HepG2 cells, using PDIA3 antibody orb626814 at 1:50 dilution and Rhodamine-labeled goat anti-rabbit IgG (red). Blue pseudocolor = DAPI (fluorescent DNA dye).

IP Result of anti-ERp57/ERp60 (IP: orb626814, 4 ug; Detection: orb626814 1:2000) with mouse liver tissue lysate 4000 ug.

L02 cells were subjected to SDS PAGE followed by western blot with orb626814 (PDIA3 antibody) at dilution of 1:1000.

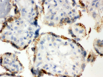
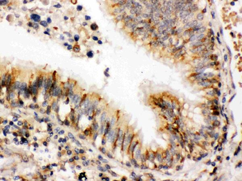
Immunohistochemistry of paraffin-embedded human lung cancer using orb626814 (PDIA3 antibody) at dilution of 1:100.
Quick Database Links
UniProt Details
−Documents Download
Request a Document
Protocol Information
PDIA3 Antibody (orb626814)
Participating in our Biorbyt product reviews program enables you to support fellow scientists by sharing your firsthand experience with our products.
Login to Submit a Review























