You have no items in your shopping cart.
PLA2G7 Antibody
Description
Research Area
Images & Validation
−| Tested Applications | ELISA, IHC, WB |
|---|---|
| Dilution Range | WB:1:1000-1:5000, IHC-P:1:20-1:200 |
| Reactivity | Human |
Key Properties
−| Host | Rabbit |
|---|---|
| Clonality | Polyclonal |
| Isotype | IgG |
| Immunogen | Recombinant Human Platelet-activating factor acetylhydrolase protein (49-441AA) |
| Target | PLA2G7 |
| Purification | >95%, Protein G purified |
| Conjugation | Unconjugated |
Storage & Handling
−| Storage | Maintain refrigerated at 2-8°C for up to 2 weeks. For long term storage store at -20°C in small aliquots to prevent freeze-thaw cycles. |
|---|---|
| Form/Appearance | Liquid |
| Buffer/Preservatives | Preservative: 0.03% Proclin 300. Constituents: 50% Glycerol |
| Expiration Date | 12 months from date of receipt. |
| Disclaimer | For research use only |
Alternative Names
−Similar Products
−PLA2G7 Rabbit Polyclonal Antibody [orb10981]
IF, IHC-Fr, IHC-P, WB
Canine
Human, Mouse, Rat
Rabbit
Polyclonal
Unconjugated
200 μl, 50 μl, 100 μlPLA2G7 Antibody (Center) [orb1927707]
FC, IHC-P, WB
Human, Mouse
Rabbit
Polyclonal
Unconjugated
50 μl, 100 μlHuman Phospholipase A2, Lipoprotein Associated (LpPLA2) EasyStep ELISA Kit [orb1950020]
Human
0.78-50 ng/mL
0.78 ng/mL
48 T, 96 T

Quality Guarantee
Explore bioreagents carefree to elevate your research. All our products are rigorously tested for performance. If a product does not perform as described on its datasheet, our scientific support team will provide expert troubleshooting, a prompt replacement, or a refund. For full details, please see our Terms & Conditions and Buying Guide. Contact us at [email protected].

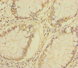
Immunohistochemical staining of human colon cancer using Platelet-activating factor acetylhydrolase antibody

Immunohistochemical staining of human Pancreatic Cancer using Platelet-activating factor acetylhydrolase antibody

Western blot analysis of HepG2 cell using Platelet-activating factor acetylhydrolase antibody

Western blot analysis of Mouse liver tissue(lane 1), Human plasma tissue(lane 2), Monocytic leukemia cells(lane 3), HL60 whole cell lysate(lane 4) using Platelet-activating factor acetylhydrolase antibody
Quick Database Links
UniProt Details
−Documents Download
Request a Document
Protocol Information
PLA2G7 Antibody (orb240101)
Participating in our Biorbyt product reviews program enables you to support fellow scientists by sharing your firsthand experience with our products.
Login to Submit a Review

















