You have no items in your shopping cart.
PRDX6 Antibody
Description
Research Area
Images & Validation
−| Tested Applications | ELISA, IF, IHC, IP, WB |
|---|---|
| Dilution Range | WB:1:500-5000, IHC-P:1:20-200, IF:1:50-200 |
| Reactivity | Human |
Key Properties
−| Host | Rabbit |
|---|---|
| Clonality | Polyclonal |
| Isotype | IgG |
| Immunogen | Recombinant Human Peroxiredoxin-6 protein (87-224AA) |
| Target | PRDX6 |
| Purification | >95%, Protein G purified |
| Conjugation | Unconjugated |
Storage & Handling
−| Storage | Maintain refrigerated at 2-8°C for up to 2 weeks. For long term storage store at -20°C in small aliquots to prevent freeze-thaw cycles. |
|---|---|
| Form/Appearance | Liquid |
| Buffer/Preservatives | Preservative: 0.03% Proclin 300. Constituents: 50% Glycerol |
| Expiration Date | 12 months from date of receipt. |
| Disclaimer | For research use only |
Alternative Names
−Similar Products
−KPNB1 Mouse Monoclonal Antibody [orb1152394]
FC, ICC, IF, IHC, WB
Human, Mouse, Rat
Mouse
Monoclonal
Unconjugated
100 μgJAB1 Mouse Monoclonal Antibody [orb763099]
FC, ICC, IF, IHC, WB
Human, Mouse, Rat
Mouse
Monoclonal
Unconjugated
100 μgPeroxiredoxin 6/PRDX6 Rabbit Polyclonal Antibody [orb251533]
ICC, IHC, WB
Human, Mouse, Rat
Rabbit
Polyclonal
Unconjugated
100 μgPRDX6 Antibody (C-term) [orb1931330]
FC, IHC-P, WB
Bovine, Gallus, Monkey, Mouse, Porcine, Rat
Human
Rabbit
Polyclonal
Unconjugated
100 μl, 50 μl

Quality Guarantee
Explore bioreagents carefree to elevate your research. All our products are rigorously tested for performance. If a product does not perform as described on its datasheet, our scientific support team will provide expert troubleshooting, a prompt replacement, or a refund. For full details, please see our Terms & Conditions and Buying Guide. Contact us at [email protected].

Immunoprecipitation analysis of HeLa whole cell lysate using PRDX6 antibody

Western blot analysis of A549 whole cell lysate(lane 1), Hela whole cell lysate(lane 2), SH-SY5Y whole cell lysate(lane 3) using PRDX6 antibody

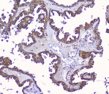
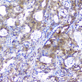
Immunohistochemical staining of human ovarian cancer using PRDX6 antibody

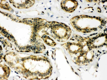
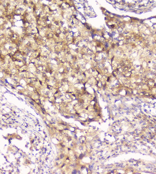
Immunohistochemical staining of human glioma cancer using PRDX6 antibody

Immunofluorescence analysis of Hela cells using PRDX6 antibody
Quick Database Links
UniProt Details
−Documents Download
Request a Document
Protocol Information
PRDX6 Antibody (orb400532)
Participating in our Biorbyt product reviews program enables you to support fellow scientists by sharing your firsthand experience with our products.
Login to Submit a Review

































