You have no items in your shopping cart.
PRKAR1A Antibody
Description
Research Area
Images & Validation
−| Tested Applications | ELISA, IHC, WB |
|---|---|
| Dilution range | WB: 1:500 - 1:2000; IHC: 1:50 - 1:200 |
| Reactivity | Human |
Key Properties
−| Antibody Type | Primary Antibody |
|---|---|
| Host | Rabbit |
| Clonality | Polyclonal |
| Isotype | IgG |
| Immunogen | protein kinase, cAMP-dependent, regulatory, type I, alpha (tissue specific extinguisher 1) |
| Target | PRKAR1A |
| Molecular Weight | 45 kDa |
| Purity | ≥95% as determined by SDS-PAGE |
| Purification | Immunogen affinity purified |
| Conjugation | Unconjugated |
Storage & Handling
−| Storage | Maintain refrigerated at 2-8°C for up to 2 weeks. For long term storage store at -20°C in small aliquots to prevent freeze-thaw cycles. |
|---|---|
| Form/Appearance | liquid |
| Disclaimer | For research use only |
Alternative Names
−Similar Products
−PKA Iα reg rabbit pAb Antibody [orb766093]
ELISA, IF, IHC, WB
Human, Mouse, Rat
Polyclonal
Unconjugated
100 μl, 50 μlProtein Kinase A regulatory subunit I alpha/PRKAR1A Antibody [orb389508]
IHC, WB
Human, Rat
Rabbit
Polyclonal
Unconjugated
100 μgPRKAR1A Antibody [orb214438]
IF, IHC, WB
Bovine, Gallus, Human, Mouse, Porcine, Rat, Sheep
Rabbit
Polyclonal
Unconjugated
50 μl, 100 μl, 200 μl, 30 μlPRKAR1A Antibody [orb1535854]
ICC, IF, IHC, IHC-P, WB
Bovine, Gallus, Human, Mouse, Porcine, Rat, Sheep
Rabbit
Polyclonal
Unconjugated
50 μl

Quality Guarantee
Explore bioreagents carefree to elevate your research. All our products are rigorously tested for performance. If a product does not perform as described on its datasheet, our scientific support team will provide expert troubleshooting, a prompt replacement, or a refund. For full details, please see our Terms & Conditions and Buying Guide. Contact us at [email protected].

HeLa cells were subjected to SDS PAGE followed by western blot with orb630214 (PRKAR1A antibody) at dilution of 1:1000.

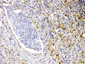
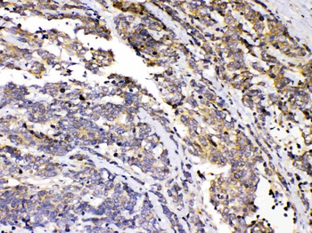
Immunohistochemistry of paraffin-embedded human oophoroma using orb630214 (PRKAR1A antibody) at dilution of 1:100.
Quick Database Links
UniProt Details
−Documents Download
Request a Document
Protocol Information
PRKAR1A Antibody (orb630214)
Participating in our Biorbyt product reviews program enables you to support fellow scientists by sharing your firsthand experience with our products.
Login to Submit a Review












